Mouse Monoclonal Antibody to SYN1
货号:
31015
别名:
SYNI; SYN1a; SYN1b
应用:
WB,IHC,IF,FCM
反应种属:
Human,Mouse,Monkey,Rat
抗体类型:
Primary antibody
Swissprot:
P17600
规格:
目录价
在线咨询
Description |
|---|
This gene is a member of the synapsin gene family. Synapsins encode neuronal phosphoproteins which associate with the cytoplasmic surface of synaptic vesicles. Family members are characterized by common protein domains, and they are implicated in synaptogenesis and the modulation of neurotransmitter release, suggesting a potential role in several neuropsychiatric diseases. This member of the synapsin family plays a role in regulation of axonogenesis and synaptogenesis. The protein encoded serves as a substrate for several different protein kinases and phosphorylation may function in the regulation of this protein in the nerve terminal. Mutations in this gene may be associated with X-linked disorders with primary neuronal degeneration such as Rett syndrome. Alternatively spliced transcript variants encoding different isoforms have been identified. |
References |
|---|
| 1.Synapse. 2012 Nov;66(11):979-83. 2.J Neurosci Res. 2009 Aug 1;87(10):2255-63. |
Specification |
|
|---|---|
| Aliases | SYNI; SYN1a; SYN1b |
| Entrez GeneID | 6853 |
| Swissprot | P17600 |
| clone | 7H10G6 |
| WB Predicted band size | 74.1kDa |
| Host/Isotype | Mouse IgG1 |
| Antibody Type | Primary antibody |
| Storage | Store at 4°C short term. Aliquot and store at -20°C long term. Avoid freeze/thaw cycles. |
| Species Reactivity | Human,Mouse,Monkey,Rat |
| Immunogen | Purified recombinant fragment of human SYN1 (AA: 362-511) expressed in E. Coli. |
| Formulation | Purified antibody in PBS with 0.05% sodium azide |
Application |
|
|---|---|
| WB | 1/500 - 1/2000 |
| IHC | 1/200 - 1/1000 |
| IF | 1/200 - 1/1000 |
| FCM | 1/200 - 1/400 |
| ELISA | 1/10000 |
Product Image
-
Black line: Control Antigen (100 ng);Purple line: Antigen (10ng); Blue line: Antigen (50 ng); Red line:Antigen (100 ng)

-
Western blot analysis using SYN1 mouse mAb against SK-N-SH (1), NIH/3T3 (2), U251 (3), C6 (4), A549 (5), MCF-7 (6), and COS7 (7) cell lysate.

-
Immunofluorescence analysis of GC-7901 cells. Blue: DRAQ5 fluorescent DNA dye. Red: Actin filaments have been labeled with Alexa Fluor- 555 phalloidin. Secondary antibody from Fisher (Cat#: 35503)

-
Immunofluorescence analysis of GC-7901 cells using SYN1 mouse mAb (green). Blue: DRAQ5 fluorescent DNA dye. Red: Actin filaments have been labeled with Alexa Fluor- 555 phalloidin. Secondary antibody from Fisher (Cat#: 35503)

-
Immunofluorescence analysis of HepG2 cells. Blue: DRAQ5 fluorescent DNA dye. Red: Actin filaments have been labeled with Alexa Fluor- 555 phalloidin. Secondary antibody from Fisher (Cat#: 35503)

-
Immunofluorescence analysis of HepG2 cells using SYN1 mouse mAb (green). Blue: DRAQ5 fluorescent DNA dye. Red: Actin filaments have been labeled with Alexa Fluor- 555 phalloidin. Secondary antibody from Fisher (Cat#: 35503)

-
Flow cytometric analysis of Hela cells using SYN1 mouse mAb (green) and negative control (red).

-
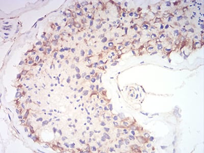
Immunohistochemical analysis of paraffin-embedded human testis tissues using SYN1 mouse mAb with DAB staining.









鄂公网安备42018502007531号

