Mouse Monoclonal Antibody to TTF1
货号:
31032
别名:
TTF-1; TTF-I
应用:
IHC,IF,FCM
反应种属:
Human
抗体类型:
Primary antibody
Swissprot:
Q15361
规格:
目录价
在线咨询
Description |
|---|
This gene encodes a transcription termination factor that is localized to the nucleolus and plays a critical role in ribosomal gene transcription. The encoded protein mediates the termination of RNA polymerase I transcription by binding to Sal box terminator elements downstream of pre-rRNA coding regions. Alternatively spliced transcript variants encoding multiple isoforms have been observed for this gene. This gene shares the symbol/alias 'TFF1' with another gene, NK2 homeobox 1, also known as thyroid transcription factor 1, which plays a role in the regulation of thyroid-specific gene expression. |
References |
|---|
| 1.Tumour Biol. 2015 Sep;36(10):8085-92. 2.Chest. 2013 Oct;144(4):1199-206. |
Specification |
|
|---|---|
| Aliases | TTF-1; TTF-I |
| Entrez GeneID | 7270 |
| Swissprot | Q15361 |
| clone | 2F4D8 |
| WB Predicted band size | 103kDa |
| Host/Isotype | Mouse IgG1 |
| Antibody Type | Primary antibody |
| Storage | Store at 4°C short term. Aliquot and store at -20°C long term. Avoid freeze/thaw cycles. |
| Species Reactivity | Human |
| Immunogen | Purified recombinant fragment of human TTF1 (AA: 1-150) expressed in E. Coli. |
| Formulation | Purified antibody in PBS with 0.05% sodium azide |
Application |
|
|---|---|
| IHC | 1/200 - 1/1000 |
| IF | 1/200 - 1/1000 |
| FCM | 1/200 - 1/400 |
| ELISA | 1/10000 |
Product Image
-
Black line: Control Antigen (100 ng);Purple line: Antigen (10ng); Blue line: Antigen (50 ng); Red line:Antigen (100 ng)

-
Immunofluorescence analysis of MCF-7 cells using TTF1 mouse mAb (green). Blue: DRAQ5 fluorescent DNA dye. Red: Actin filaments have been labeled with Alexa Fluor- 555 phalloidin. Secondary antibody from Fisher (Cat#: 35503)

-
Immunofluorescence analysis of SK-OV-3 cells using TTF1 mouse mAb (green). Blue: DRAQ5 fluorescent DNA dye. Red: Actin filaments have been labeled with Alexa Fluor- 555 phalloidin. Secondary antibody from Fisher (Cat#: 35503)

-
Flow cytometric analysis of Hela cells using TTF1 mouse mAb (green) and negative control (red).

-
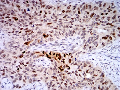
Immunohistochemical analysis of paraffin-embedded human cervical cancer tissues using TTF1 mouse mAb with DAB staining.

-
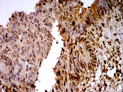
Immunohistochemical analysis of paraffin-embedded human rectum cancer tissues using TTF1 mouse mAb with DAB staining.







鄂公网安备42018502007531号

