Mouse Monoclonal Antibody to KDM1A
货号:
31022
别名:
AOF2; CPRF; KDM1; LSD1; BHC110
应用:
WB,IHC,IF,FCM
反应种属:
Human
抗体类型:
Primary antibody
Swissprot:
O60341
规格:
目录价
在线咨询
Description |
|---|
This gene encodes a nuclear protein containing a SWIRM domain, a FAD-binding motif, and an amine oxidase domain. This protein is a component of several histone deacetylase complexes, though it silences genes by functioning as a histone demethylase. Alternative splicing results in multiple transcript variants. |
References |
|---|
| 1.Int J Clin Exp Pathol. 2014 Dec 1;7(12):8929-34. 2.Blood. 2014 Jul 3;124(1):151-2. |
Specification |
|
|---|---|
| Aliases | AOF2; CPRF; KDM1; LSD1; BHC110 |
| Entrez GeneID | 23028 |
| Swissprot | O60341 |
| clone | 3F9D2 |
| WB Predicted band size | 93kDa |
| Host/Isotype | Mouse IgG1 |
| Antibody Type | Primary antibody |
| Storage | Store at 4°C short term. Aliquot and store at -20°C long term. Avoid freeze/thaw cycles. |
| Species Reactivity | Human |
| Immunogen | Purified recombinant fragment of human KDM1A (AA: 55-263) expressed in E. Coli. |
| Formulation | Purified antibody in PBS with 0.05% sodium azide |
Application |
|
|---|---|
| WB | 1/500 - 1/2000 |
| IHC | 1/200 - 1/1000 |
| IF | 1/200 - 1/1000 |
| FCM | 1/200 - 1/400 |
| ELISA | 1/10000 |
Product Image
-
Black line: Control Antigen (100 ng);Purple line: Antigen (10ng); Blue line: Antigen (50 ng); Red line:Antigen (100 ng)

-
Western blot analysis using KDM1A mouse mAb against K562 (1), Jurkat (2), and Hela (3) cell lysate.

-
Immunofluorescence analysis of HL-7702 cells using KDM1A mouse mAb (green). Blue: DRAQ5 fluorescent DNA dye. Red: Actin filaments have been labeled with Alexa Fluor- 555 phalloidin. Secondary antibody from Fisher (Cat#: 35503)

-
Immunofluorescence analysis of MCF-7 cells using KDM1A mouse mAb (green). Blue: DRAQ5 fluorescent DNA dye. Red: Actin filaments have been labeled with Alexa Fluor- 555 phalloidin. Secondary antibody from Fisher (Cat#: 35503)

-
Flow cytometric analysis of Hela cells using KDM1A mouse mAb (green) and negative control (red).

-
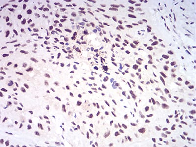
Immunohistochemical analysis of paraffin-embedded human esophageal cancer tissues using KDM1A mouse mAb with DAB staining.

-
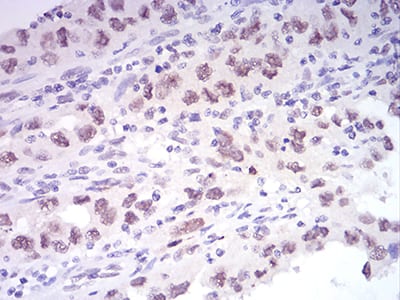
Immunohistochemical analysis of paraffin-embedded human endometrial cancer tissues using KDM1A mouse mAb with DAB staining.








鄂公网安备42018502007531号

