Mouse Monoclonal Antibody to Rab6b
货号:
31020
别名:
应用:
WB,IHC,IF,FCM
反应种属:
Human,Rat
抗体类型:
Primary antibody
Swissprot:
Q9NRW1
规格:
目录价
在线咨询
Description |
|---|
RAB6B (RAB6B, Member RAS Oncogene Family) is a Protein Coding gene. Among its related pathways are Sertoli-Sertoli Cell Junction Dynamics. GO annotations related to this gene include GTP binding and GTPase activity. An important paralog of this gene is RAB41. |
References |
|---|
| 1.Exp Cell Res. 2007 Oct 1;313(16):3408-20. 2.J Cell Sci. 2000 Aug;113 ( Pt 15):2725-35. |
Specification |
|
|---|---|
| Entrez GeneID | 51560 |
| Swissprot | Q9NRW1 |
| clone | 6D12E4 |
| WB Predicted band size | 23.5kDa |
| Host/Isotype | Mouse IgG1 |
| Antibody Type | Primary antibody |
| Storage | Store at 4°C short term. Aliquot and store at -20°C long term. Avoid freeze/thaw cycles. |
| Species Reactivity | Human,Rat |
| Immunogen | Purified recombinant fragment of human Rab6b (AA: 95-208) expressed in E. Coli. |
| Formulation | Purified antibody in PBS with 0.05% sodium azide |
Application |
|
|---|---|
| WB | 1/500 - 1/2000 |
| IHC | 1/200 - 1/1000 |
| IF | 1/200 - 1/1000 |
| FCM | 1/200 - 1/400 |
| ELISA | 1/10000 |
Product Image
-
Black line: Control Antigen (100 ng);Purple line: Antigen (10ng); Blue line: Antigen (50 ng); Red line:Antigen (100 ng)

-
Western blot analysis using Rab6b mouse mAb against C6 (1), HT-29 (2), and PC-12 (3) cell lysate.

-
Immunofluorescence analysis of Hela cells using Rab6b mouse mAb (green). Blue: DRAQ5 fluorescent DNA dye. Red: Actin filaments have been labeled with Alexa Fluor- 555 phalloidin. Secondary antibody from Fisher (Cat#: 35503)

-
Immunofluorescence analysis of HepG2 cells using Rab6b mouse mAb (green). Blue: DRAQ5 fluorescent DNA dye. Red: Actin filaments have been labeled with Alexa Fluor- 555 phalloidin. Secondary antibody from Fisher (Cat#: 35503)

-
Flow cytometric analysis of Hela cells using Rab6b mouse mAb (green) and negative control (red).

-
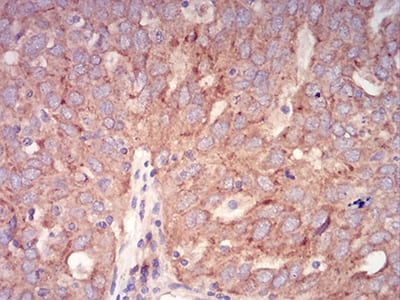
Immunohistochemical analysis of paraffin-embedded human lung cancer tissues using Rab6b mouse mAb with DAB staining.

-
Immunohistochemical analysis of paraffin-embedded human ovarian cancer tissues using Rab6b mouse mAb with DAB staining.








鄂公网安备42018502007531号

