Mouse Monoclonal Antibody to TRAF2
货号:
31005
别名:
TRAP; TRAP3; MGC:45012
应用:
IHC,IF,FCM
反应种属:
Human
抗体类型:
Primary antibody
Swissprot:
Q12933
规格:
目录价
在线咨询
Description |
|---|
The protein encoded by this gene is a member of the TNF receptor associated factor (TRAF) protein family. TRAF proteins associate with, and mediate the signal transduction from members of the TNF receptor superfamily. This protein directly interacts with TNF receptors, and forms a heterodimeric complex with TRAF1. This protein is required for TNF-alpha-mediated activation of MAPK8/JNK and NF-kappaB. The protein complex formed by this protein and TRAF1 interacts with the inhibitor-of-apoptosis proteins (IAPs), and functions as a mediator of the anti-apoptotic signals from TNF receptors. The interaction of this protein with TRADD, a TNF receptor associated apoptotic signal transducer, ensures the recruitment of IAPs for the direct inhibition of caspase activation. BIRC2/c-IAP1, an apoptosis inhibitor possessing ubiquitin ligase activity, can unbiquitinate and induce the degradation of this protein, and thus potentiate TNF-induced apoptosis. Multiple alternatively spliced transcript variants have been found for this gene, but the biological validity of only one transcript has been determined. |
References |
|---|
| 1.J Virol. 2014 Apr;88(7):3664-77. 2.Xi Bao Yu Fen Zi Mian Yi Xue Za Zhi. 2011 Nov;27(11):1176-9. |
Specification |
|
|---|---|
| Aliases | TRAP; TRAP3; MGC:45012 |
| Entrez GeneID | 7186 |
| Swissprot | Q12933 |
| clone | 5C2C3 |
| WB Predicted band size | 55.8KD |
| Host/Isotype | Mouse IgG1 |
| Antibody Type | Primary antibody |
| Storage | Store at 4°C short term. Aliquot and store at -20°C long term. Avoid freeze/thaw cycles. |
| Species Reactivity | Human |
| Immunogen | Purified recombinant fragment of human TRAF2 (AA: 39-188) expressed in E. Coli. |
| Formulation | Purified antibody in PBS with 0.05% sodium azide |
Application |
|
|---|---|
| IHC | 1/200 - 1/1000 |
| IF | 1/200 - 1/1000 |
| FCM | 1/200 - 1/400 |
| ELISA | 1/10000 |
Product Image
-
Black line: Control Antigen (100 ng);Purple line: Antigen (10ng); Blue line: Antigen (50 ng); Red line:Antigen (100 ng)

-
Immunofluorescence analysis of HL-7702 cells using TRAF2 mouse mAb (green). Blue: DRAQ5 fluorescent DNA dye. Red: Actin filaments have been labeled with Alexa Fluor- 555 phalloidin. Secondary antibody from Fisher (Cat#: 35503)

-
Immunofluorescence analysis of MCF-7 cells using TRAF2 mouse mAb (green). Blue: DRAQ5 fluorescent DNA dye. Red: Actin filaments have been labeled with Alexa Fluor- 555 phalloidin. Secondary antibody from Fisher (Cat#: 35503)

-
Flow cytometric analysis of Hela cells using TRAF2 mouse mAb (green) and negative control (red).

-
Flow cytometric analysis of HepG2 cells using TRAF2 mouse mAb (green) and negative control (red).

-
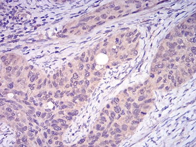
Immunohistochemical analysis of paraffin-embedded human cervical cancer tissues using TRAF2 mouse mAb with DAB staining.







鄂公网安备42018502007531号

