Mouse Monoclonal Antibody to AKT1
货号:
30997
别名:
AKT; PKB; RAC; CWS6; PRKBA; PKB-ALPHA; RAC-ALPHA
应用:
WB,IHC,FCM
反应种属:
Human,Rat,Monkey
抗体类型:
Primary antibody
Swissprot:
P31749
规格:
目录价
在线咨询
Description |
|---|
The serine-threonine protein kinase encoded by the AKT1 gene is catalytically inactive in serum-starved primary and immortalized fibroblasts. AKT1 and the related AKT2 are activated by platelet-derived growth factor. The activation is rapid and specific, and it is abrogated by mutations in the pleckstrin homology domain of AKT1. It was shown that the activation occurs through phosphatidylinositol 3-kinase. In the developing nervous system AKT is a critical mediator of growth factor-induced neuronal survival. Survival factors can suppress apoptosis in a transcription-independent manner by activating the serine/threonine kinase AKT1, which then phosphorylates and inactivates components of the apoptotic machinery. Mutations in this gene have been associated with the Proteus syndrome. Multiple alternatively spliced transcript variants have been found for this gene. |
References |
|---|
| 1.Sci Rep. 2015 Jan 13;5:7758. 2.J Cancer Res Clin Oncol. 2015 Apr;141(4):615-26. |
Specification |
|
|---|---|
| Aliases | AKT; PKB; RAC; CWS6; PRKBA; PKB-ALPHA; RAC-ALPHA |
| Entrez GeneID | 207 |
| Swissprot | P31749 |
| clone | 1F7G2 |
| WB Predicted band size | 55.7kDa |
| Host/Isotype | Mouse IgG1 |
| Antibody Type | Primary antibody |
| Storage | Store at 4°C short term. Aliquot and store at -20°C long term. Avoid freeze/thaw cycles. |
| Species Reactivity | Human,Rat,Monkey |
| Immunogen | Purified recombinant fragment of human AKT1 (AA: 1-150) expressed in E. Coli. |
| Formulation | Purified antibody in PBS with 0.05% sodium azide |
Application |
|
|---|---|
| WB | 1/500 - 1/2000 |
| IHC | 1/200 - 1/1000 |
| FCM | 1/200 - 1/400 |
| ELISA | 1/10000 |
Product Image
-
Black line: Control Antigen (100 ng);Purple line: Antigen (10ng); Blue line: Antigen (50 ng); Red line:Antigen (100 ng)

-
Western blot analysis using AKT1 mouse mAb against A549 (1), MCF-7 (2), Hela (3), COS7 (4), C6 (5), and HL-60 (6) cell lysate.

-
Flow cytometric analysis of Hela cells using AKT1 mouse mAb (green) and negative control (red).

-
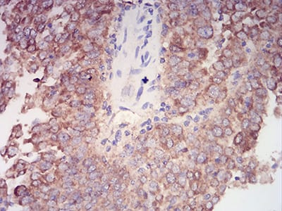
Immunohistochemical analysis of paraffin-embedded human esophageal cancer tissues using AKT1 mouse mAb with DAB staining.

-
Immunohistochemical analysis of paraffin-embedded human endometrial cancer tissues using AKT1 mouse mAb with DAB staining.






鄂公网安备42018502007531号

