Mouse Monoclonal Antibody to SERPINA1
货号:
30982
别名:
PI; A1A; AAT; PI1; A1AT; PRO2275; alpha1AT
应用:
IHC,IF,FCM
反应种属:
Human
抗体类型:
Primary antibody
Swissprot:
P01009
规格:
目录价
在线咨询
Description |
|---|
The protein encoded by this gene is secreted and is a serine protease inhibitor whose targets include elastase, plasmin, thrombin, trypsin, chymotrypsin, and plasminogen activator. Defects in this gene can cause emphysema or liver disease. Several transcript variants encoding the same protein have been found for this gene. |
References |
|---|
| 1.PLoS One. 2012;7(8):e42728. 2.Electrophoresis. 2012 Jul;33(14):2130-7. |
Specification |
|
|---|---|
| Aliases | PI; A1A; AAT; PI1; A1AT; PRO2275; alpha1AT |
| Entrez GeneID | 5265 |
| Swissprot | P01009 |
| clone | 5D1D2 |
| WB Predicted band size | 46.7kDa |
| Host/Isotype | Mouse IgG1 |
| Antibody Type | Primary antibody |
| Storage | Store at 4°C short term. Aliquot and store at -20°C long term. Avoid freeze/thaw cycles. |
| Species Reactivity | Human |
| Immunogen | Purified recombinant fragment of human SERPINA1 (AA: 23-237) expressed in E. Coli. |
| Formulation | Purified antibody in PBS with 0.05% sodium azide |
Application |
|
|---|---|
| IHC | 1/200 - 1/1000 |
| IF | 1/200 - 1/1000 |
| FCM | 1/200 - 1/400 |
| ELISA | 1/10000 |
Product Image
-
Black line: Control Antigen (100 ng);Purple line: Antigen (10ng); Blue line: Antigen (50 ng); Red line:Antigen (100 ng)

-
Immunofluorescence analysis of GC-7901 cells using SERPINA1 mouse mAb (green). Blue: DRAQ5 fluorescent DNA dye. Red: Actin filaments have been labeled with Alexa Fluor- 555 phalloidin. Secondary antibody from Fisher (Cat#: 35503)

-
Immunofluorescence analysis of HepG2 cells using SERPINA1 mouse mAb (green). Blue: DRAQ5 fluorescent DNA dye. Red: Actin filaments have been labeled with Alexa Fluor- 555 phalloidin. Secondary antibody from Fisher (Cat#: 35503)

-
Flow cytometric analysis of Hela cells using SERPINA1 mouse mAb (green) and negative control (red).

-
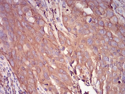
Immunohistochemical analysis of paraffin-embedded human ovarian cancer tissues using SERPINA1 mouse mAb with DAB staining.

-
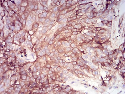
Immunohistochemical analysis of paraffin-embedded human bladder cancer tissues using SERPINA1 mouse mAb with DAB staining.







鄂公网安备42018502007531号

