Mouse Monoclonal Antibody to CFHR5
货号:
30986
别名:
FHR5; CFHL5; FHR-5; CFHR5D
应用:
WB,IHC,IF,FCM
反应种属:
Human,Mouse
抗体类型:
Primary antibody
Swissprot:
Q9BXR6
规格:
目录价
在线咨询
Description |
|---|
This gene is a member of a small complement factor H (CFH) gene cluster on chromosome 1. Each member of this gene family contains multiple short consensus repeats (SCRs) typical of regulators of complement activation. The protein encoded by this gene has nine SCRs with the first two repeats having heparin binding properties, a region within repeats 5-7 having heparin binding and C reactive protein binding properties, and the C-terminal repeats being similar to a complement component 3 b (C3b) binding domain. This protein co-localizes with C3, binds C3b in a dose-dependent manner, and is recruited to tissues damaged by C-reactive protein. Allelic variations in this gene have been associated, but not causally linked, with two different forms of kidney disease: membranoproliferative glomerulonephritis type II (MPGNII) and hemolytic uraemic syndrome (HUS). |
References |
|---|
| 1.Kidney Int. 2014 Apr;85(4):933-7. 2.Dis Model Mech. 2011 Nov;4(6):721-6. |
Specification |
|
|---|---|
| Aliases | FHR5; CFHL5; FHR-5; CFHR5D |
| Entrez GeneID | 81494 |
| Swissprot | Q9BXR6 |
| clone | 3A10A5 |
| WB Predicted band size | 64.4kDa |
| Host/Isotype | Mouse IgG2a |
| Antibody Type | Primary antibody |
| Storage | Store at 4°C short term. Aliquot and store at -20°C long term. Avoid freeze/thaw cycles. |
| Species Reactivity | Human,Mouse |
| Immunogen | Purified recombinant fragment of human CFHR5 (AA: 344-569) expressed in E. Coli. |
| Formulation | Purified antibody in PBS with 0.05% sodium azide |
Application |
|
|---|---|
| WB | 1/500 - 1/2000 |
| IHC | 1/200 - 1/1000 |
| IF | 1/200 - 1/1000 |
| FCM | 1/200 - 1/400 |
| ELISA | 1/10000 |
Product Image
-
Black line: Control Antigen (100 ng);Purple line: Antigen (10ng); Blue line: Antigen (50 ng); Red line:Antigen (100 ng)

-
Western blot analysis using CFHR5 mouse mAb against HepG2 (1), K562 (2), L-02 (3), SK-Hep-1 (4), SMMC-7721 (5), and NIH/3T3 (6) cell lysate.

-
Immunofluorescence analysis of Hela cells using CFHR5 mouse mAb (green). Blue: DRAQ5 fluorescent DNA dye. Red: Actin filaments have been labeled with Alexa Fluor- 555 phalloidin. Secondary antibody from Fisher (Cat#: 35503)

-
Flow cytometric analysis of Hela cells using CFHR5 mouse mAb (green) and negative control (red).

-
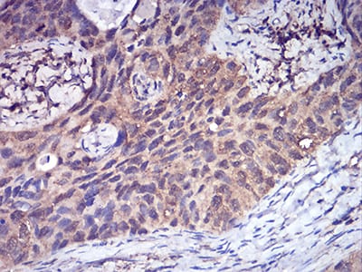
Immunohistochemical analysis of paraffin-embedded human cervical cancer tissues using CFHR5 mouse mAb with DAB staining.

-
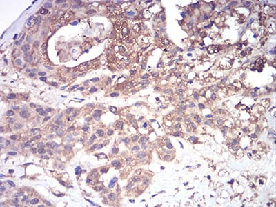
Immunohistochemical analysis of paraffin-embedded human ovarian cancer tissues using CFHR5 mouse mAb with DAB staining.







鄂公网安备42018502007531号

