Mouse Monoclonal Antibody to ALDH6A1
货号:
30974
别名:
MMSDH; MMSADHA
应用:
WB,IHC,IF,FCM
反应种属:
Human
抗体类型:
Primary antibody
Swissprot:
Q02252
规格:
目录价
在线咨询
Description |
|---|
This gene encodes a member of the aldehyde dehydrogenase protein family. The encoded protein is a mitochondrial methylmalonate semialdehyde dehydrogenase that plays a role in the valine and pyrimidine catabolic pathways. This protein catalyzes the irreversible oxidative decarboxylation of malonate and methylmalonate semialdehydes to acetyl- and propionyl-CoA. Methylmalonate semialdehyde dehydrogenase deficiency is characterized by elevated beta-alanine, 3-hydroxypropionic acid, and both isomers of 3-amino and 3-hydroxyisobutyric acids in urine organic acids. Alternate splicing results in multiple transcript variants. |
References |
|---|
| 1.Orphanet J Rare Dis. 2013 Jul 9;8:98. 2.J Inherit Metab Dis. 2012 May;35(3):437-42. |
Specification |
|
|---|---|
| Aliases | MMSDH; MMSADHA |
| Entrez GeneID | 4329 |
| Swissprot | Q02252 |
| clone | 6H9B8 |
| WB Predicted band size | 57.8kDa |
| Host/Isotype | Mouse IgG1 |
| Antibody Type | Primary antibody |
| Storage | Store at 4°C short term. Aliquot and store at -20°C long term. Avoid freeze/thaw cycles. |
| Species Reactivity | Human |
| Immunogen | Purified recombinant fragment of human ALDH6A1 (AA: 1-195) expressed in E. Coli. |
| Formulation | Purified antibody in PBS with 0.05% sodium azide |
Application |
|
|---|---|
| WB | 1/500 - 1/2000 |
| IHC | 1/200 - 1/1000 |
| IF | 1/200 - 1/1000 |
| FCM | 1/200 - 1/400 |
| ELISA | 1/10000 |
Product Image
-
Black line: Control Antigen (100 ng);Purple line: Antigen (10ng); Blue line: Antigen (50 ng); Red line:Antigen (100 ng)

-
Western blot analysis using ALDH6A1 mouse mAb against Jurkat (1), HEK293 (2), Hela (3), MCF-7 (4), and LNcap (5) cell lysate.

-
Immunofluorescence analysis of Hela cells using ALDH6A1 mouse mAb. Blue: DRAQ5 fluorescent DNA dye. Red: Actin filaments have been labeled with Alexa Fluor- 555 phalloidin.

-
Immunofluorescence analysis of Hela cells using ALDH6A1 mouse mAb (green). Blue: DRAQ5 fluorescent DNA dye. Red: Actin filaments have been labeled with Alexa Fluor- 555 phalloidin. Secondary antibody from Fisher (Cat#: 35503)

-
Flow cytometric analysis of Hela cells using ALDH6A1 mouse mAb (green) and negative control (red).

-
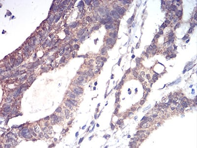
Immunohistochemical analysis of paraffin-embedded human rectum cancer tissues using ALDH6A1 mouse mAb with DAB staining.

-
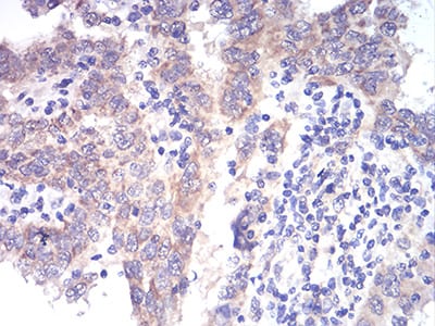
Immunohistochemical analysis of paraffin-embedded human endometrial cancer tissues using ALDH6A1 mouse mAb with DAB staining.








鄂公网安备42018502007531号

