Mouse Monoclonal Antibody to RAN
货号:
30994
别名:
TC4; Gsp1; ARA24
应用:
WB,IHC,FCM
反应种属:
Human,Rat,Monkey
抗体类型:
Primary antibody
Swissprot:
P62826
规格:
目录价
在线咨询
Description |
|---|
RAN (ras-related nuclear protein) is a small GTP binding protein belonging to the RAS superfamily that is essential for the translocation of RNA and proteins through the nuclear pore complex. The RAN protein is also involved in control of DNA synthesis and cell cycle progression. Nuclear localization of RAN requires the presence of regulator of chromosome condensation 1 (RCC1). Mutations in RAN disrupt DNA synthesis. Because of its many functions, it is likely that RAN interacts with several other proteins. RAN regulates formation and organization of the microtubule network independently of its role in the nucleus-cytosol exchange of macromolecules. RAN could be a key signaling molecule regulating microtubule polymerization during mitosis. RCC1 generates a high local concentration of RAN-GTP around chromatin which, in turn, induces the local nucleation of microtubules. RAN is an androgen receptor (AR) coactivator that binds differentially with different lengths of polyglutamine within the androgen receptor. Polyglutamine repeat expansion in the AR is linked to Kennedy's disease (X-linked spinal and bulbar muscular atrophy). RAN coactivation of the AR diminishes with polyglutamine expansion within the AR, and this weak coactivation may lead to partial androgen insensitivity during the development of Kennedy's disease. |
References |
|---|
| 1.Int J Clin Oncol. 2013 Oct;18(5):856-63. 2.Clin Cancer Res. 2012 Jan 15;18(2):380-91. |
Specification |
|
|---|---|
| Aliases | TC4; Gsp1; ARA24 |
| Entrez GeneID | 5901 |
| Swissprot | P62826 |
| clone | 8D1H12 |
| WB Predicted band size | 24.4kDa |
| Host/Isotype | Mouse IgG1 |
| Antibody Type | Primary antibody |
| Storage | Store at 4°C short term. Aliquot and store at -20°C long term. Avoid freeze/thaw cycles. |
| Species Reactivity | Human,Rat,Monkey |
| Immunogen | Purified recombinant fragment of human RAN (AA: 1-216) expressed in E. Coli. |
| Formulation | Purified antibody in PBS with 0.05% sodium azide |
Application |
|
|---|---|
| WB | 1/500 - 1/2000 |
| IHC | 1/200 - 1/1000 |
| FCM | 1/200 - 1/400 |
| ELISA | 1/10000 |
Product Image
-
Black line: Control Antigen (100 ng);Purple line: Antigen (10ng); Blue line: Antigen (50 ng); Red line:Antigen (100 ng)

-
Western blot analysis using RAN mouse mAb against A431 (1), C6 (2), Jurkat (3), Hela (4), COS7 (5), and Jurkat (6) cell lysate.

-
Flow cytometric analysis of Hela cells using RAN mouse mAb (green) and negative control (red).

-
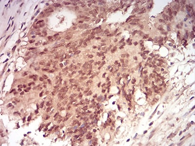
Immunohistochemical analysis of paraffin-embedded human esophageal cancer tissues using RAN mouse mAb with DAB staining.

-
Immunohistochemical analysis of paraffin-embedded human rectum cancer tissues using RAN mouse mAb with DAB staining.






鄂公网安备42018502007531号

