Mouse Monoclonal Antibody to MAP2K3
货号:
30978
别名:
MEK3; MKK3; MAPKK3; PRKMK3; SAPKK2; SAPKK-2
应用:
IHC,IF,FCM
反应种属:
Human
抗体类型:
Primary antibody
Swissprot:
P46734
规格:
目录价
在线咨询
Description |
|---|
The protein encoded by this gene is a dual specificity protein kinase that belongs to the MAP kinase kinase family. This kinase is activated by mitogenic and environmental stress, and participates in the MAP kinase-mediated signaling cascade. It phosphorylates and thus activates MAPK14/p38-MAPK. This kinase can be activated by insulin, and is necessary for the expression of glucose transporter. Expression of RAS oncogene is found to result in the accumulation of the active form of this kinase, which thus leads to the constitutive activation of MAPK14, and confers oncogenic transformation of primary cells. The inhibition of this kinase is involved in the pathogenesis of Yersina pseudotuberculosis. Multiple alternatively spliced transcript variants that encode distinct isoforms have been reported for this gene. |
References |
|---|
| 1.Hum Mol Genet. 2013 Nov 1;22(21):4438-49. 2.Proteomics Clin Appl. 2010 Nov;4(10-11):816-28. |
Specification |
|
|---|---|
| Aliases | MEK3; MKK3; MAPKK3; PRKMK3; SAPKK2; SAPKK-2 |
| Entrez GeneID | 5606 |
| Swissprot | P46734 |
| clone | 2E12D11 |
| WB Predicted band size | 39.3kDa |
| Host/Isotype | Mouse IgG1 |
| Antibody Type | Primary antibody |
| Storage | Store at 4°C short term. Aliquot and store at -20°C long term. Avoid freeze/thaw cycles. |
| Species Reactivity | Human |
| Immunogen | Purified recombinant fragment of human MAP2K3 (AA: 1-138) expressed in E. Coli. |
| Formulation | Purified antibody in PBS with 0.05% sodium azide |
Application |
|
|---|---|
| IHC | 1/200 - 1/1000 |
| IF | 1/200 - 1/1000 |
| FCM | 1/200 - 1/400 |
| ELISA | 1/10000 |
Product Image
-
Black line: Control Antigen (100 ng);Purple line: Antigen (10ng); Blue line: Antigen (50 ng); Red line:Antigen (100 ng)

-
Immunofluorescence analysis of GC-7901 cells using MAP2K3 mouse mAb (green). Blue: DRAQ5 fluorescent DNA dye. Red: Actin filaments have been labeled with Alexa Fluor- 555 phalloidin. Secondary antibody from Fisher (Cat#: 35503)

-
Immunofluorescence analysis of Hela cells using MAP2K3 mouse mAb (green). Blue: DRAQ5 fluorescent DNA dye. Red: Actin filaments have been labeled with Alexa Fluor- 555 phalloidin. Secondary antibody from Fisher (Cat#: 35503)

-
Immunofluorescence analysis of HepG2 cells using MAP2K3 mouse mAb (green). Blue: DRAQ5 fluorescent DNA dye. Red: Actin filaments have been labeled with Alexa Fluor- 555 phalloidin. Secondary antibody from Fisher (Cat#: 35503)

-
Flow cytometric analysis of Hela cells using MAP2K3 mouse mAb (green) and negative control (red).

-
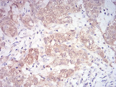
Immunohistochemical analysis of paraffin-embedded human bladder cancer tissues using MAP2K3 mouse mAb with DAB staining.

-
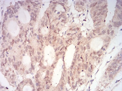
Immunohistochemical analysis of paraffin-embedded human rectum cancer tissues using MAP2K3 mouse mAb with DAB staining.








鄂公网安备42018502007531号

