Mouse Monoclonal Antibody to RAD21
货号:
30969
别名:
HR21; MCD1; NXP1; SCC1; CDLS4; hHR21; HRAD21
应用:
WB,IHC,IF,FCM
反应种属:
Human,Rat,Monkey
抗体类型:
Primary antibody
Swissprot:
O60216
规格:
目录价
在线咨询
Description |
|---|
The protein encoded by this gene is highly similar to the gene product of Schizosaccharomyces pombe rad21, a gene involved in the repair of DNA double-strand breaks, as well as in chromatid cohesion during mitosis. This protein is a nuclear phospho-protein, which becomes hyperphosphorylated in cell cycle M phase. The highly regulated association of this protein with mitotic chromatin specifically at the centromere region suggests its role in sister chromatid cohesion in mitotic cells. |
References |
|---|
| 1.Breast Cancer Res. 2012 Apr 26;14(2):R69. 2.Breast Cancer Res. 2011 Jan 21;13(1):R9. |
Specification |
|
|---|---|
| Aliases | HR21; MCD1; NXP1; SCC1; CDLS4; hHR21; HRAD21 |
| Entrez GeneID | 5885 |
| Swissprot | O60216 |
| clone | 1B6D1 |
| WB Predicted band size | 71.7kDa |
| Host/Isotype | Mouse IgG1 |
| Antibody Type | Primary antibody |
| Storage | Store at 4°C short term. Aliquot and store at -20°C long term. Avoid freeze/thaw cycles. |
| Species Reactivity | Human,Rat,Monkey |
| Immunogen | Purified recombinant fragment of human RAD21 (AA: 287-403) expressed in E. Coli. |
| Formulation | Purified antibody in PBS with 0.05% sodium azide |
Application |
|
|---|---|
| WB | 1/500 - 1/2000 |
| IHC | 1/200 - 1/1000 |
| IF | 1/200 - 1/1000 |
| FCM | 1/200 - 1/400 |
| ELISA | 1/10000 |
Product Image
-
Black line: Control Antigen (100 ng);Purple line: Antigen (10ng); Blue line: Antigen (50 ng); Red line:Antigen (100 ng)

-
Western blot analysis using RAD21 mouse mAb against Hela (1), HEK293 (2), K562 (3), C6 (4), *** (5), and COS7 (6) cell lysate.

-
Immunofluorescence analysis of Hela cells using RAD21 mouse mAb (green). Blue: DRAQ5 fluorescent DNA dye. Red: Actin filaments have been labeled with Alexa Fluor- 555 phalloidin. Secondary antibody from Fisher (Cat#: 35503)

-
Flow cytometric analysis of Hela cells using RAD21 mouse mAb (green) and negative control (red).

-
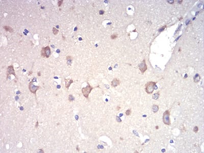
Immunohistochemical analysis of paraffin-embedded human brain tissues using RAD21 mouse mAb with DAB staining.

-
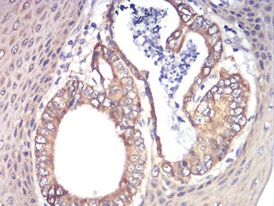
Immunohistochemical analysis of paraffin-embedded human esophageal cancer tissues using RAD21 mouse mAb with DAB staining.







鄂公网安备42018502007531号

