Mouse Monoclonal Antibody to KPNA2
货号:
30947
别名:
QIP2; RCH1; IPOA1; SRP1alpha
应用:
WB,IHC,IF,FCM
反应种属:
Human,Mouse
抗体类型:
Primary antibody
Swissprot:
P52292
规格:
目录价
在线咨询
Description |
|---|
The import of proteins into the nucleus is a process that involves at least 2 steps. The first is an energy-independent docking of the protein to the nuclear envelope and the second is an energy-dependent translocation through the nuclear pore complex. Imported proteins require a nuclear localization sequence (NLS) which generally consists of a short region of basic amino acids or 2 such regions spaced about 10 amino acids apart. Proteins involved in the first step of nuclear import have been identified in different systems. These include the Xenopus protein importin and its yeast homolog, SRP1 (a suppressor of certain temperature-sensitive mutations of RNA polymerase I in Saccharomyces cerevisiae), which bind to the NLS. KPNA2 protein interacts with the NLSs of DNA helicase Q1 and SV40 T antigen and may be involved in the nuclear transport of proteins. KPNA2 also may play a role in V(D)J recombination. |
References |
|---|
| 1.Mod Pathol. 2014 Jan;27(1):96-106. 2.PLoS One. 2013;8(3):e57911. |
Specification |
|
|---|---|
| Aliases | QIP2; RCH1; IPOA1; SRP1alpha |
| Entrez GeneID | 3838 |
| Swissprot | P52292 |
| clone | 1E8B7 |
| WB Predicted band size | 58kDa |
| Host/Isotype | Mouse IgG1 |
| Antibody Type | Primary antibody |
| Storage | Store at 4°C short term. Aliquot and store at -20°C long term. Avoid freeze/thaw cycles. |
| Species Reactivity | Human,Mouse |
| Immunogen | Purified recombinant fragment of human KPNA2 (AA: 1-530) expressed in E. Coli. |
| Formulation | Purified antibody in PBS with 0.05% sodium azide |
Application |
|
|---|---|
| WB | 1/500 - 1/2000 |
| IHC | 1/200 - 1/1000 |
| IF | 1/200 - 1/1000 |
| FCM | 1/200 - 1/400 |
| ELISA | 1/10000 |
Product Image
-
Black line: Control Antigen (100 ng);Purple line: Antigen (10ng); Blue line: Antigen (50 ng); Red line:Antigen (100 ng)

-
Western blot analysis using KPNA2 mouse mAb against Hela (1), HEK293 (2), and NIH/3T3 (3) cell lysate.

-
Immunofluorescence analysis of Hela cells using KPNA2 mouse mAb (green). Blue: DRAQ5 fluorescent DNA dye. Red: Actin filaments have been labeled with Alexa Fluor- 555 phalloidin. Secondary antibody from Fisher (Cat#: 35503)

-
Flow cytometric analysis of Hela cells using KPNA2 mouse mAb (green) and negative control (red).

-
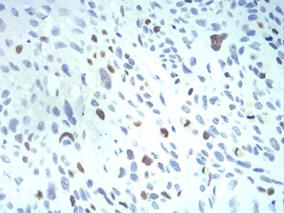
Immunohistochemical analysis of paraffin-embedded human lung cancer tissues using KPNA2 mouse mAb with DAB staining.

-
Immunohistochemical analysis of paraffin-embedded human esophageal cancer tissues using KPNA2 mouse mAb with DAB staining.







鄂公网安备42018502007531号

