Mouse Monoclonal Antibody to DDX3X
货号:
30949
别名:
DBX; DDX3; HLP2; DDX14; CAP-Rf
应用:
WB,IHC,IF,FCM
反应种属:
Human,Mouse,Rat,Monkey,Rabbit
抗体类型:
Primary antibody
Swissprot:
O00571
规格:
目录价
在线咨询
Description |
|---|
The protein encoded by this gene is a member of the large DEAD-box protein family, that is defined by the presence of the conserved Asp-Glu-Ala-Asp (DEAD) motif, and has ATP-dependent RNA helicase activity. This protein has been reported to display a high level of RNA-independent ATPase activity, and unlike most DEAD-box helicases, the ATPase activity is thought to be stimulated by both RNA and DNA. This protein has multiple conserved domains and is thought to play roles in both the nucleus and cytoplasm. Nuclear roles include transcriptional regulation, mRNP assembly, pre-mRNA splicing, and mRNA export. In the cytoplasm, this protein is thought to be involved in translation, cellular signaling, and viral replication. Misregulation of this gene has been implicated in tumorigenesis. This gene has a paralog located in the nonrecombining region of the Y chromosome. Pseudogenes sharing similarity to both this gene and the DDX3Y paralog are found on chromosome 4 and the X chromosome. Alternative splicing results in multiple transcript variants. |
References |
|---|
| 1.PLoS One. 2013;8(3):e59445. 2.Oral Dis. 2014 Jan;20(1):76-83. |
Specification |
|
|---|---|
| Aliases | DBX; DDX3; HLP2; DDX14; CAP-Rf |
| Entrez GeneID | 1654 |
| Swissprot | O00571 |
| clone | 3B9E3 |
| WB Predicted band size | 73.2kDa |
| Host/Isotype | Mouse IgG2a |
| Antibody Type | Primary antibody |
| Storage | Store at 4°C short term. Aliquot and store at -20°C long term. Avoid freeze/thaw cycles. |
| Species Reactivity | Human,Mouse,Rat,Monkey,Rabbit |
| Immunogen | Purified recombinant fragment of human DDX3X (AA: 518-661) expressed in E. Coli. |
| Formulation | Purified antibody in PBS with 0.05% sodium azide |
Application |
|
|---|---|
| WB | 1/500 - 1/2000 |
| IHC | 1/100 - 1/500 |
| IF | 1/50 - 1/500 |
| FCM | 1/200 - 1/400 |
| ELISA | 1/10000 |
Product Image
-
Black line: Control Antigen (100 ng);Purple line: Antigen (10ng); Blue line: Antigen (50 ng); Red line:Antigen (100 ng)

-
Western blot analysis using DDX3X mouse mAb against Hela (1), NIH3T3 (2), C6 (3), COS7 (4), A431 (5), and HEK293 (6) cell lysate.

-
Western blot analysis using DDX3X mouse mAb against PC-12(1) Raw264.7(2)NIH/3T3(3)NRK(4)C6(5)F9(6)COS-7(&)CHO3D10(8) cell lysate.

-
Immunofluorescence analysis of Hela cells using DDX3X mouse mAb. Blue: DRAQ5 fluorescent DNA dye. Red: Actin filaments have been labeled with Alexa Fluor- 555 phalloidin.

-
Immunofluorescence analysis of Hela cells using DDX3X mouse mAb (green). Blue: DRAQ5 fluorescent DNA dye. Red: Actin filaments have been labeled with Alexa Fluor- 555 phalloidin. Secondary antibody from Fisher (Cat#: 35503)

-
Flow cytometric analysis of Hela cells using DDX3X mouse mAb (green) and negative control (red).

-
Flow cytometric analysis of HepG2 cells using DDX3X mouse mAb (green) and negative control (red).

-
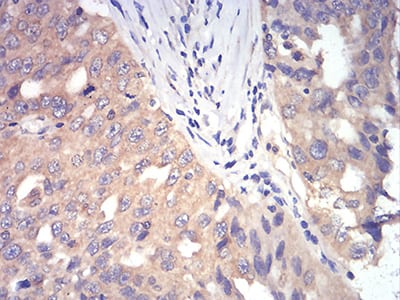
Immunohistochemical analysis of paraffin-embedded human ovarian cancer tissues using DDX3X mouse mAb with DAB staining.

-
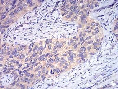
Immunohistochemical analysis of paraffin-embedded human cervical cancer tissues using DDX3X mouse mAb with DAB staining.

-
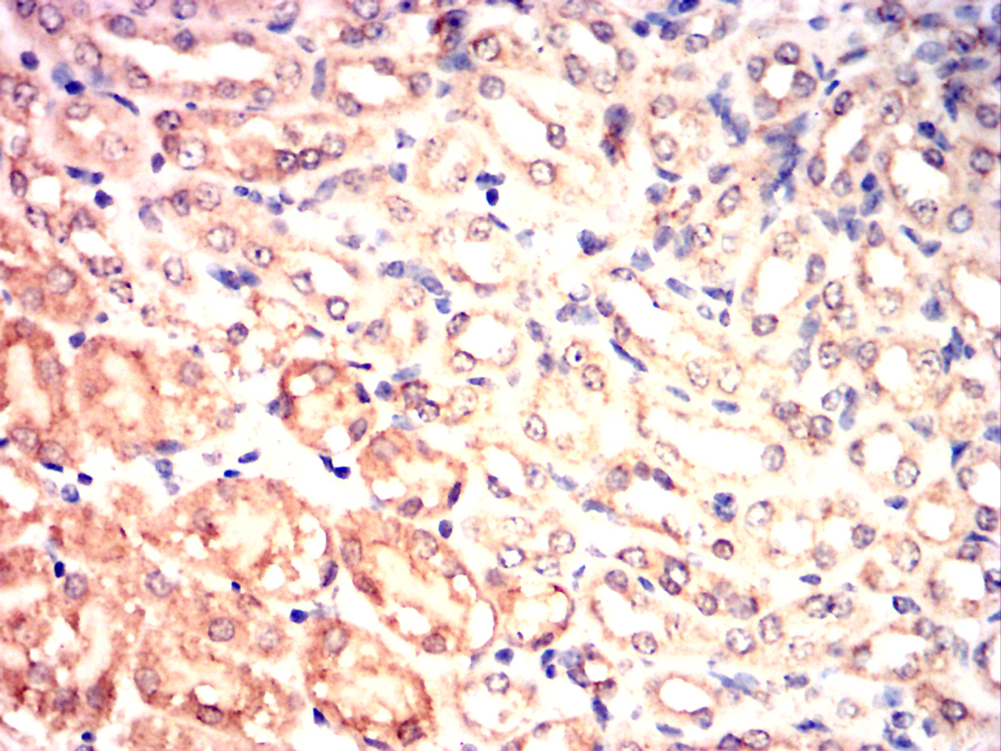
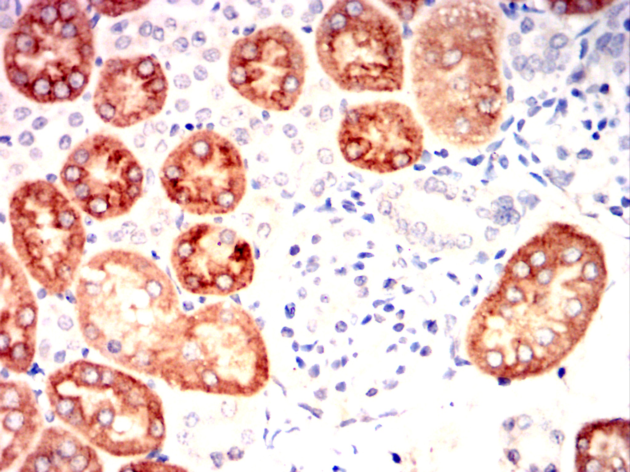
Immunohistochemical analysis of paraffin-embedded Mouse kidney using DDX3X mouse mAb with DAB staining.

-
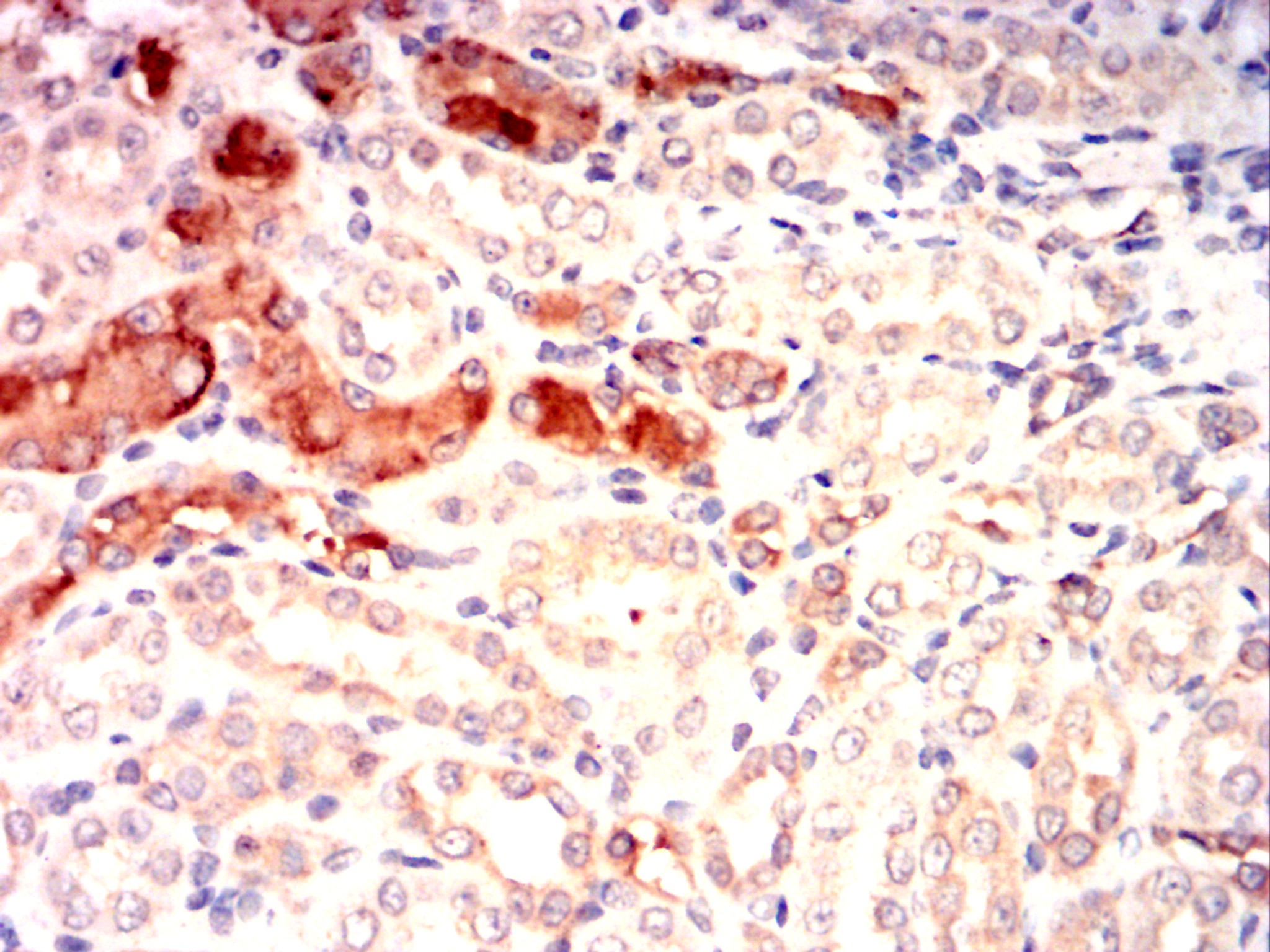
Immunohistochemical analysis of paraffin-embedded Rat kidney using DDX3X mouse mAb with DAB staining.

-
Immunohistochemical analysis of paraffin-embedded Rabbit kidney using DDX3X mouse mAb with DAB staining.













鄂公网安备42018502007531号

