Mouse Monoclonal Antibody to MECP2
货号:
30905
别名:
RS; RTS; RTT; PPMX; MRX16; MRX79; MRXSL; AUTSX3; MRXS13
应用:
WB,IHC,IF,FCM
反应种属:
Human
抗体类型:
Primary antibody
Swissprot:
P51608
规格:
目录价
在线咨询
Description |
|---|
DNA methylation is the major modification of eukaryotic genomes and plays an essential role in mammalian development. Human proteins MECP2, MBD1, MBD2, MBD3, and MBD4 comprise a family of nuclear proteins related by the presence in each of a methyl-CpG binding domain (MBD). Each of these proteins, with the exception of MBD3, is capable of binding specifically to methylated DNA. MECP2, MBD1 and MBD2 can also repress transcription from methylated gene promoters. In contrast to other MBD family members, MECP2 is X-linked and subject to X inactivation. MECP2 is dispensible in stem cells, but is essential for embryonic development. MECP2 gene mutations are the cause of most cases of Rett syndrome, a progressive neurologic developmental disorder and one of the most common causes of mental retardation in females. |
References |
|---|
| 1.J Pediatr Surg. 2013 Oct;48(10):2099-105. 2.Cell Res. 2013 Nov;23(11):1244-6. |
Specification |
|
|---|---|
| Aliases | RS; RTS; RTT; PPMX; MRX16; MRX79; MRXSL; AUTSX3; MRXS13 |
| Entrez GeneID | 4204 |
| Swissprot | P51608 |
| clone | 8H4A5B9 |
| WB Predicted band size | 52.4kDa |
| Host/Isotype | Mouse IgG1 |
| Antibody Type | Primary antibody |
| Storage | Store at 4°C short term. Aliquot and store at -20°C long term. Avoid freeze/thaw cycles. |
| Species Reactivity | Human |
| Immunogen | Purified recombinant fragment of human MECP2 (AA: 7-148) expressed in E. Coli. |
| Formulation | Purified antibody in PBS with 0.05% sodium azide |
Application |
|
|---|---|
| WB | 1/500 - 1/2000 |
| IHC | 1/200 - 1/1000 |
| IF | 1/200 - 1/1000 |
| FCM | 1/200 - 1/400 |
| ELISA | 1/10000 |
Product Image
-
Black line: Control Antigen (100 ng); Purple line: Antigen(10ng); Blue line: Antigen (50 ng); Red line: Antigen (100 ng);

-
Western blot analysis using MECP2 mouse mAb against A431 (1) and MCF-7 (2) cell lysate.

-
Immunofluorescence analysis of Hela cells using MECP2 mouse mAb (green). Blue: DRAQ5 fluorescent DNA dye. Red: Actin filaments have been labeled with Alexa Fluor- 555 phalloidin. Secondary antibody from Fisher (Cat#: 35503)

-
Flow cytometric analysis of Hela cells using MECP2 mouse mAb (green) and negative control (red).

-
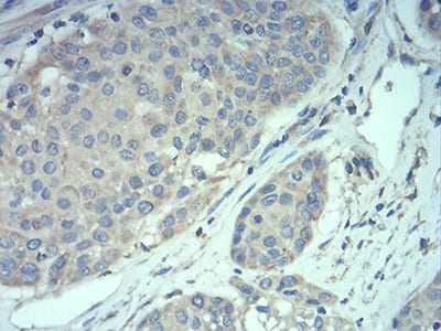
Immunohistochemical analysis of paraffin-embedded human ovarian cancer tissues using MECP2 mouse mAb with DAB staining.

-
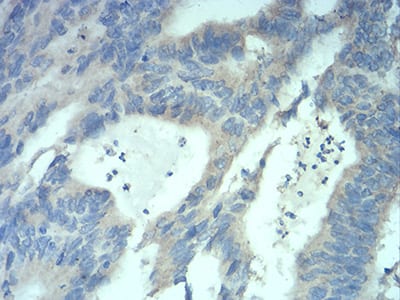
Immunohistochemical analysis of paraffin-embedded human rectum cancer tissues using MECP2 mouse mAb with DAB staining.







鄂公网安备42018502007531号

