Mouse Monoclonal Antibody to CBX5
货号:
30923
别名:
HP1; HP1A; HEL25
应用:
WB,IHC,IF
反应种属:
Human,Mouse
抗体类型:
Primary antibody
Swissprot:
P45973
规格:
目录价
在线咨询
Description |
|---|
This gene encodes a highly conserved nonhistone protein, which is a member of the heterochromatin protein family. The protein is enriched in the heterochromatin and associated with centromeres. The protein has a single N-terminal chromodomain which can bind to histone proteins via methylated lysine residues, and a C-terminal chromo shadow-domain (CSD) which is responsible for the homodimerization and interaction with a number of chromatin-associated nonhistone proteins. The encoded product is involved in the formation of functional kinetochore through interaction with essential kinetochore proteins. The gene has a pseudogene located on chromosome 3. Multiple alternatively spliced variants, encoding the same protein, have been identified. |
References |
|---|
| 1.Mol Carcinog. 2011 Aug;50(8):601-13. 2.J Mol Biol. 2013 Jan 9;425(1):54-70. |
Specification |
|
|---|---|
| Aliases | HP1; HP1A; HEL25 |
| Entrez GeneID | 23468 |
| Swissprot | P45973 |
| clone | 1B10B2 |
| WB Predicted band size | 22.2kDa |
| Host/Isotype | Mouse IgG1 |
| Antibody Type | Primary antibody |
| Storage | Store at 4°C short term. Aliquot and store at -20°C long term. Avoid freeze/thaw cycles. |
| Species Reactivity | Human,Mouse |
| Immunogen | Purified recombinant fragment of human CBX5 (AA: 1-191) expressed in E. Coli. |
| Formulation | Purified antibody in PBS with 0.05% sodium azide |
Application |
|
|---|---|
| WB | 1/500 - 1/2000 |
| IHC | 1/200 - 1/1000 |
| IF | 1/200 - 1/1000 |
| ELISA | 1/10000 |
Product Image
-
Black line: Control Antigen (100 ng); Purple line: Antigen(10ng); Blue line: Antigen (50 ng); Red line: Antigen (100 ng);

-
Western blot analysis using CBX5 mouse mAb against Hela (1), NIH/3T3 (2), K562 (3), MCF-7 (4), Jurkat (5), and A431 (6) cell lysate.

-
Immunofluorescence analysis of Hela cells using CBX5 mouse mAb. Blue: DRAQ5 fluorescent DNA dye. Red: Actin filaments have been labeled with Alexa Fluor- 555 phalloidin.

-
Immunofluorescence analysis of Hela cells using CBX5 mouse mAb (green). Blue: DRAQ5 fluorescent DNA dye. Red: Actin filaments have been labeled with Alexa Fluor- 555 phalloidin. Secondary antibody from Fisher (Cat#: 35503)

-
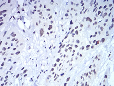
Immunohistochemical analysis of paraffin-embedded human esophageal cancer tissues using CBX5 mouse mAb with DAB staining.

-
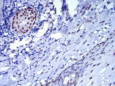
Immunohistochemical analysis of paraffin-embedded human esophagus tissues using CBX5 mouse mAb with DAB staining.







鄂公网安备42018502007531号

