Mouse Monoclonal Antibody to mTOR
货号:
30910
别名:
FRAP; FRAP1; FRAP2; RAFT1; RAPT1
应用:
IHC
反应种属:
Human,Mouse,Rat,Rabbit
抗体类型:
Primary antibody
Swissprot:
P42345
规格:
目录价
在线咨询
Description |
|---|
The protein encoded by this gene belongs to a family of phosphatidylinositol kinase-related kinases. These kinases mediate cellular responses to stresses such as DNA damage and nutrient deprivation. This protein acts as the target for the cell-cycle arrest and immunosuppressive effects of the FKBP12-rapamycin complex. The ANGPTL7 gene is located in an intron of this gene. |
References |
|---|
| 1.Br J Cancer. 2015 Mar 17;112(6):1042-51. 2.Clin Cancer Res. 2014 Nov 1;20(21):5412-22. |
Specification |
|
|---|---|
| Aliases | FRAP; FRAP1; FRAP2; RAFT1; RAPT1 |
| Entrez GeneID | 2475 |
| Swissprot | P42345 |
| clone | 8H5A5 |
| WB Predicted band size | 289kDa |
| Host/Isotype | Mouse IgG2a |
| Antibody Type | Primary antibody |
| Storage | Store at 4°C short term. Aliquot and store at -20°C long term. Avoid freeze/thaw cycles. |
| Species Reactivity | Human,Mouse,Rat,Rabbit |
| Immunogen | Purified recombinant fragment of human mTOR (AA: 2311-2529) expressed in E. Coli. |
| Formulation | Purified antibody in PBS with 0.05% sodium azide |
Application |
|
|---|---|
| IHC | 1/200 - 1/1000 |
| ELISA | 1/10000 |
Product Image
-
Black line: Control Antigen (100 ng); Purple line: Antigen(10ng); Blue line: Antigen (50 ng); Red line: Antigen (100 ng);

-
Immunohistochemical analysis of paraffin-embedded human brain tissues using mTOR mouse mAb with DAB staining.

-
Immunohistochemical analysis of paraffin-embedded human endometrial cancer tissues using mTOR mouse mAb with DAB staining.

-
Immunohistochemical analysis of paraffin-embedded Mouse testis(A)Mouse cerebellum(B) using mTOR mouse mAb with DAB staining.

-
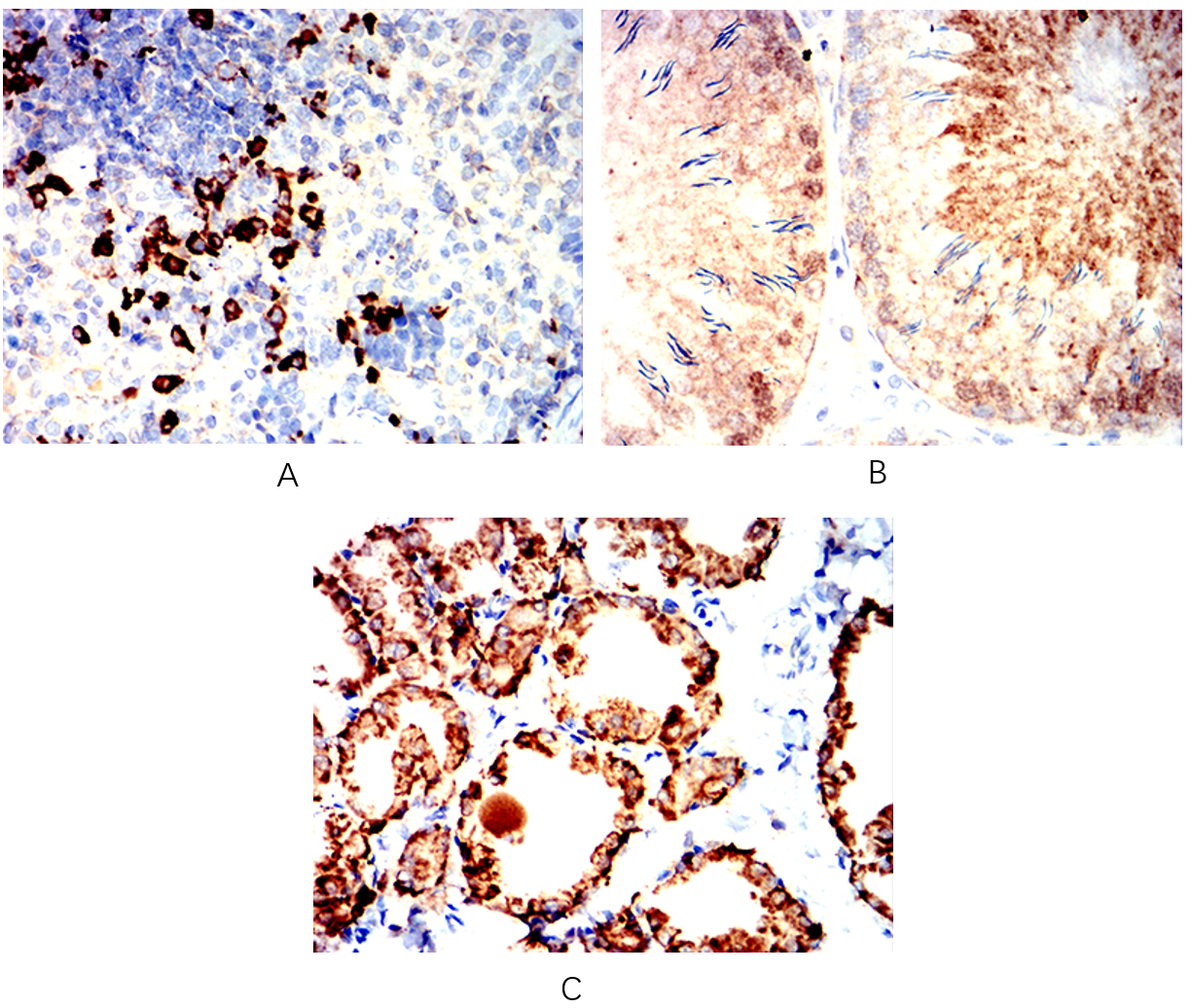
Immunohistochemical analysis of paraffin-embedded Rat spleen(A)Rat testis(B)Rat thyroid(C) using mTOR mouse mAb with DAB staining.

-
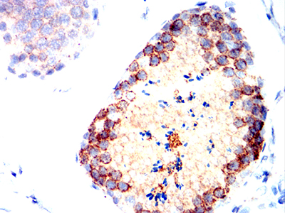
Immunohistochemical analysis of paraffin-embedded Rabbit testis using mTOR mouse mAb with DAB staining.







鄂公网安备42018502007531号

