Mouse Monoclonal Antibody to Rab5a
货号:
30928
别名:
RAB5
应用:
WB,IHC,IF,FCM
反应种属:
Human
抗体类型:
Primary antibody
Swissprot:
P20339
规格:
目录价
在线咨询
Description |
|---|
RAB5A (RAB5A, Member RAS Oncogene Family) is a Protein Coding gene. Diseases associated with RAB5A include borna disease and choroideremia. Among its related pathways are Ras signaling pathway and Endocytosis. GO annotations related to this gene include GTP binding and GDP binding. An important paralog of this gene is RAB5C. |
References |
|---|
| 1.Cancer Sci. 2011 Dec;102(12):2172-8. 2.Cell Mol Life Sci. 2011 Aug;68(16):2785-95. |
Specification |
|
|---|---|
| Aliases | RAB5 |
| Entrez GeneID | 5868 |
| Swissprot | P20339 |
| clone | 3H5C11 |
| WB Predicted band size | 23.7kDa |
| Host/Isotype | Mouse IgG1 |
| Antibody Type | Primary antibody |
| Storage | Store at 4°C short term. Aliquot and store at -20°C long term. Avoid freeze/thaw cycles. |
| Species Reactivity | Human |
| Immunogen | Purified recombinant fragment of human Rab5a (AA: 1-215) expressed in E. Coli. |
| Formulation | Purified antibody in PBS with 0.05% sodium azide |
Application |
|
|---|---|
| WB | 1/500 - 1/2000 |
| IHC | 1/200 - 1/1000 |
| IF | 1/200 - 1/1000 |
| FCM | 1/200 - 1/400 |
| ELISA | 1/10000 |
Product Image
-
Black line: Control Antigen (100 ng); Purple line: Antigen(10ng); Blue line: Antigen (50 ng); Red line: Antigen (100 ng);

-
Western blot analysis using Rab5a mouse mAb against Hela (1) and K562 (2) cell lysate.

-
Immunofluorescence analysis of Hela cells using Rab5a mouse mAb (green). Blue: DRAQ5 fluorescent DNA dye. Red: Actin filaments have been labeled with Alexa Fluor- 555 phalloidin. Secondary antibody from Fisher (Cat#: 35503)

-
Flow cytometric analysis of Hela cells using Rab5a mouse mAb (green) and negative control (red).

-
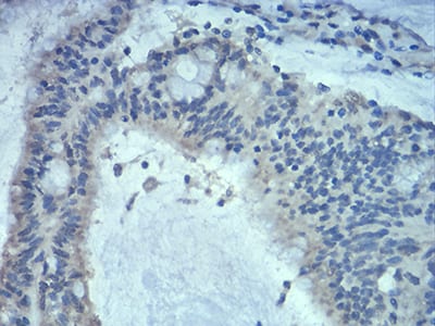
Immunohistochemical analysis of paraffin-embedded human colon cancer tissues using Rab5a mouse mAb with DAB staining.

-
Immunohistochemical analysis of paraffin-embedded human duodenum tissues using Rab5a mouse mAb with DAB staining.







鄂公网安备42018502007531号

