Mouse Monoclonal Antibody to HIST2H3C(27Ac)
货号:
30900
别名:
H3; H3.2; H3/M; H3F2; H3FM; H3FN
应用:
IHC,FCM
反应种属:
Human
抗体类型:
Primary antibody
Swissprot:
Q71DI3
规格:
目录价
在线咨询
Description |
|---|
Histones are basic nuclear proteins that are responsible for the nucleosome structure of the chromosomal fiber in eukaryotes. This structure consists of approximately 146 bp of DNA wrapped around a nucleosome, an octamer composed of pairs of each of the four core histones (H2A, H2B, H3, and H4). The chromatin fiber is further compacted through the interaction of a linker histone, H1, with the DNA between the nucleosomes to form higher order chromatin structures. This gene is intronless and encodes a member of the histone H3 family. Transcripts from this gene lack polyA tails; instead, they contain a palindromic termination element. This gene is found in a histone cluster on chromosome 1. This gene is one of four histone genes in the cluster that are duplicated; this record represents the telomeric copy. |
References |
|---|
| 1.Cell Cycle. 2014;13(3):440-52. 2.Cell Cycle. 2009 Jun 1;8(11):1747-53. |
Specification |
|
|---|---|
| Aliases | H3; H3.2; H3/M; H3F2; H3FM; H3FN |
| Entrez GeneID | 126961 |
| Swissprot | Q71DI3 |
| clone | 2D7B3 |
| WB Predicted band size | 15.4kDa |
| Host/Isotype | Mouse IgG1 |
| Antibody Type | Primary antibody |
| Storage | Store at 4°C short term. Aliquot and store at -20°C long term. Avoid freeze/thaw cycles. |
| Species Reactivity | Human |
| Immunogen | Synthesized peptide of human HIST2H3C (AA: ATKAARK(Ac)SAPATGGV) . |
| Formulation | Purified antibody in PBS with 0.05% sodium azide |
Application |
|
|---|---|
| IHC | 1/200 - 1/1000 |
| FCM | 1/200 - 1/400 |
| ELISA | 1/10000 |
Product Image
-
Black line: Control Antigen (100 ng); Purple line: Antigen(10ng); Blue line: Antigen (50 ng); Red line: Antigen (100 ng);

-
Flow cytometric analysis of *** cells using *** mouse mAb (green) and negative control (red).

-
Flow cytometric analysis of *** cells using HIST2H3C(27Ac) mouse mAb (green) and negative control (red).

-
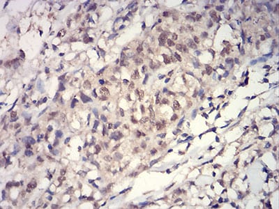
Immunohistochemical analysis of paraffin-embedded human colon cancer tissues using HIST2H3C(27Ac) mouse mAb with DAB staining.

-
Immunohistochemical analysis of paraffin-embedded human breast cancer tissues using HIST2H3C(27Ac) mouse mAb with DAB staining.






鄂公网安备42018502007531号

