Mouse Monoclonal Antibody to FOXP3
货号:
30914
别名:
JM2; AIID; IPEX; PIDX; XPID; DIETER
应用:
WB,IHC,FCM
反应种属:
Human,Mouse,Rabbit
抗体类型:
Primary antibody
Swissprot:
Q9BZS1
规格:
目录价
在线咨询
Description |
|---|
The protein encoded by this gene is a member of the forkhead/winged-helix family of transcriptional regulators. Defects in this gene are the cause of immunodeficiency polyendocrinopathy, enteropathy, X-linked syndrome (IPEX), also known as X-linked autoimmunity-immunodeficiency syndrome. Alternatively spliced transcript variants encoding different isoforms have been identified. |
References |
|---|
| 1.Mol Cancer. 2014 Jun 18;13:153. 2.Eur J Cancer. 2014 May;50(7):1291-300. |
Specification |
|
|---|---|
| Aliases | JM2; AIID; IPEX; PIDX; XPID; DIETER |
| Entrez GeneID | 50943 |
| Swissprot | Q9BZS1 |
| clone | 4F12A2 |
| WB Predicted band size | 47.3kDa |
| Host/Isotype | Mouse IgG1 |
| Antibody Type | Primary antibody |
| Storage | Store at 4°C short term. Aliquot and store at -20°C long term. Avoid freeze/thaw cycles. |
| Species Reactivity | Human,Mouse,Rabbit |
| Immunogen | Purified recombinant fragment of human FOXP3 (AA: 297-431) expressed in E. Coli. |
| Formulation | Purified antibody in PBS with 0.05% sodium azide |
Application |
|
|---|---|
| WB | 1/500 - 1/2000 |
| IHC | 1/100 - 1/500 |
| FCM | 1/200 - 1/400 |
| ELISA | 1/10000 |
Product Image
-
Black line: Control Antigen (100 ng); Purple line: Antigen(10ng); Blue line: Antigen (50 ng); Red line: Antigen (100 ng);

-
Western blot analysis using FOXP3 mouse mAb against C2C12(1) Hela(2)Jurkat(3) cell lysate.

-
Flow cytometric analysis of HeLa cells using FOXP3 mouse mAb (green) and negative control (red).

-
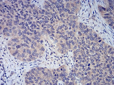
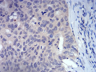
Immunohistochemical analysis of paraffin-embedded human liver cancer tissues using FOXP3 mouse mAb with DAB staining.

-
Immunohistochemical analysis of paraffin-embedded human cervical cancer tissues using FOXP3 mouse mAb with DAB staining.

-
Immunohistochemical analysis of paraffin-embedded human ovarian cancer tissues using FOXP3 mouse mAb with DAB staining.

-
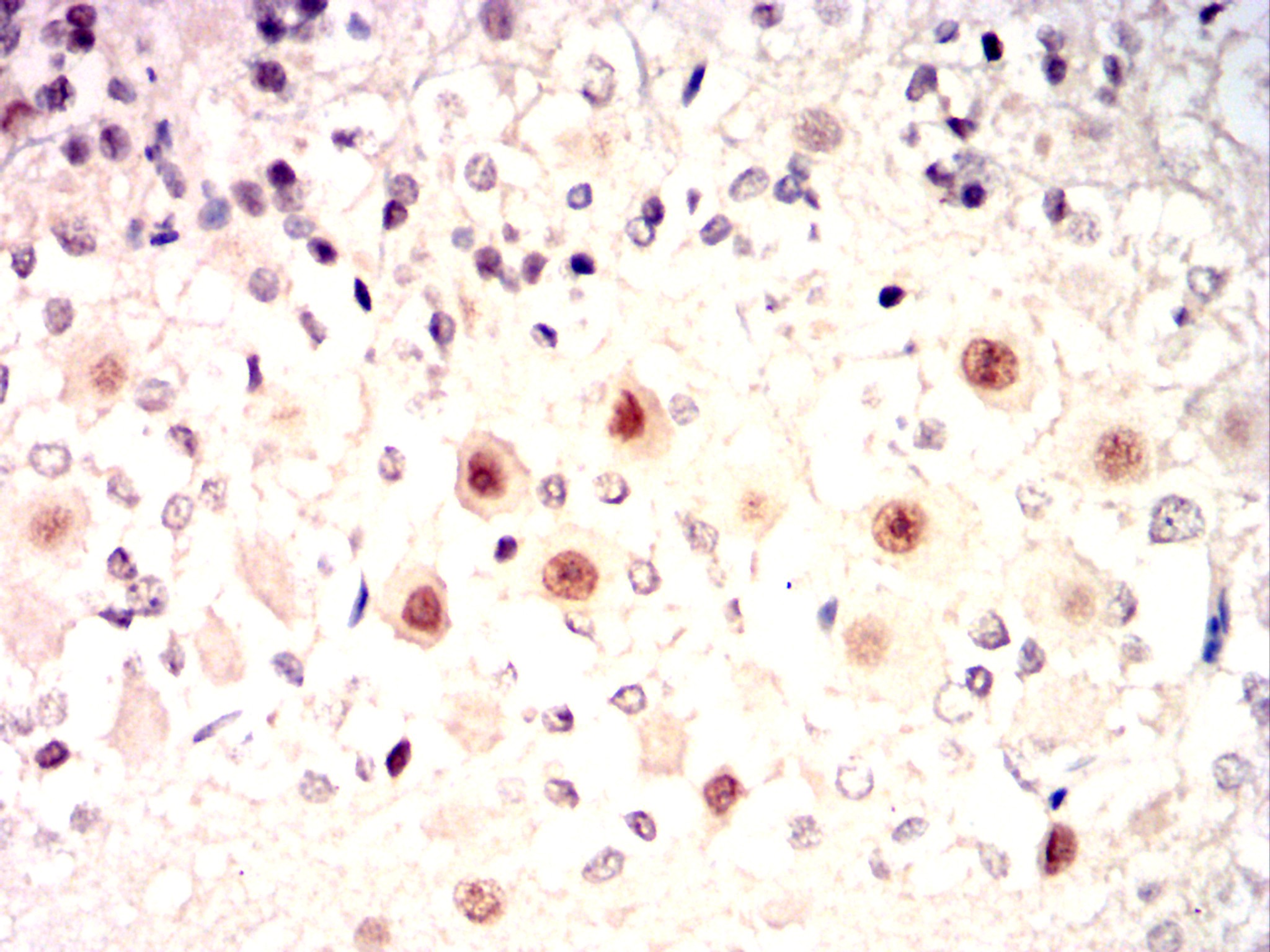
Immunohistochemical analysis of paraffin-embedded Rabbit spinal cord using FOXP3 mouse mAb with DAB staining.

-
Immunohistochemical analysis of paraffin-embedded Rabbit cerebellum using FOXP3 mouse mAb with DAB staining.









鄂公网安备42018502007531号

