Mouse Monoclonal Antibody to SK2
货号:
30888
别名:
SPHK2; SK-2; SPK 2; SPK-2
应用:
IHC,IF,FCM
反应种属:
Human
抗体类型:
Primary antibody
Swissprot:
Q9NRA0
规格:
目录价
在线咨询
Description |
|---|
This gene encodes one of two sphingosine kinase isozymes that catalyze the phosphorylation of sphingosine into sphingosine 1-phosphate. Sphingosine 1-phosphate mediates many cellular processes including migration, proliferation and apoptosis, and also plays a role in several types of cancer by promoting angiogenesis and tumorigenesis. The encoded protein may play a role in breast cancer proliferation and chemoresistance. Alternatively spliced transcript variants encoding multiple isoforms have been observed for this gene. |
References |
|---|
| 1.Tumour Biol. 2014 Jan;35(1):363-8. 2.Electrophoresis. 2011 Jun;32(13):1742-9. |
Specification |
|
|---|---|
| Aliases | SPHK2; SK-2; SPK 2; SPK-2 |
| Entrez GeneID | 56848 |
| Swissprot | Q9NRA0 |
| clone | 9C5E1 |
| WB Predicted band size | 69.2kDa |
| Host/Isotype | Mouse IgG1 |
| Antibody Type | Primary antibody |
| Storage | Store at 4°C short term. Aliquot and store at -20°C long term. Avoid freeze/thaw cycles. |
| Species Reactivity | Human |
| Immunogen | Synthesized peptide of human SK2 (AA: 36-52). |
| Formulation | Purified antibody in PBS with 0.05% sodium azide |
Application |
|
|---|---|
| IHC | 1/200 - 1/1000 |
| IF | 1/200 - 1/1000 |
| FCM | 1/200 - 1/400 |
| ELISA | 1/10000 |
Product Image
-
Black line: Control Antigen (100 ng); Purple line: Antigen(10ng); Blue line: Antigen (50 ng); Red line: Antigen (100 ng);

-
Immunofluorescence analysis of HeLa cells using SK2 mouse mAb (green). Blue: DRAQ5 fluorescent DNA dye. Red: Actin filaments have been labeled with Alexa Fluor- 555 phalloidin. Secondary antibody from Fisher (Cat#: 35503)

-
Flow cytometric analysis of HeLa cells using SK2 mouse mAb (green) and negative control (red).

-
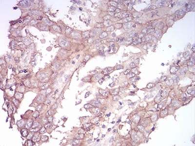
Immunohistochemical analysis of paraffin-embedded human bladder cancer tissues using SK2 mouse mAb with DAB staining.

-
Immunohistochemical analysis of paraffin-embedded human endometrial cancer tissues using SK2 mouse mAb with DAB staining.






鄂公网安备42018502007531号

