Mouse Monoclonal Antibody to CK5
货号:
30891
别名:
KRT5; K5; DDD; DDD1; EBS2; KRT5A
应用:
WB,IHC,IF,FCM
反应种属:
Human
抗体类型:
Primary antibody
Swissprot:
P13647
规格:
目录价
在线咨询
Description |
|---|
The protein encoded by this gene is a member of the keratin gene family. The type II cytokeratins consist of basic or neutral proteins which are arranged in pairs of heterotypic keratin chains coexpressed during differentiation of simple and stratified epithelial tissues. This type II cytokeratin is specifically expressed in the basal layer of the epidermis with family member KRT14. Mutations in these genes have been associated with a complex of diseases termed epidermolysis bullosa simplex. The type II cytokeratins are clustered in a region of chromosome 12q12-q13. |
References |
|---|
| 1.Horm Cancer. 2013 Feb;4(1):36-49. 2.Breast Cancer Res Treat. 2011 Jul;128(1):45-55. |
Specification |
|
|---|---|
| Aliases | KRT5; K5; DDD; DDD1; EBS2; KRT5A |
| Entrez GeneID | 3852 |
| Swissprot | P13647 |
| clone | 2C8E4 |
| WB Predicted band size | 62.4kDa |
| Host/Isotype | Mouse IgG1 |
| Antibody Type | Primary antibody |
| Storage | Store at 4°C short term. Aliquot and store at -20°C long term. Avoid freeze/thaw cycles. |
| Species Reactivity | Human |
| Immunogen | Purified recombinant fragment of human CK5 (AA: 258-357) expressed in E. Coli. |
| Formulation | Purified antibody in PBS with 0.05% sodium azide |
Application |
|
|---|---|
| WB | 1/500 - 1/2000 |
| IHC | 1/200 - 1/1000 |
| IF | 1/200 - 1/1000 |
| FCM | 1/200 - 1/400 |
| ELISA | 1/10000 |
Product Image
-
Black line: Control Antigen (100 ng); Purple line: Antigen(10ng); Blue line: Antigen (50 ng); Red line: Antigen (100 ng);

-
Western blot analysis using CK5 mouse mAb against A431 (1), MCF-7 (2), SK-Br-3 (3), Hela (4), Lncap (5), and HepG2 (6) cell lysate.

-
Immunofluorescence analysis of MCF-7 cells using CK5 mouse mAb (green). Blue: DRAQ5 fluorescent DNA dye. Red: Actin filaments have been labeled with Alexa Fluor- 555 phalloidin. Secondary antibody from Fisher (Cat#: 35503)

-
Flow cytometric analysis of HeLa cells using CK5 mouse mAb (green) and negative control (red).

-
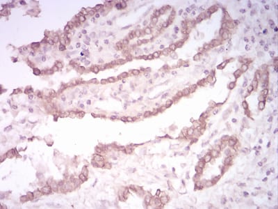
Immunohistochemical analysis of paraffin-embedded human lung cancer tissues using CK5 mouse mAb with DAB staining.






鄂公网安备42018502007531号

