Mouse Monoclonal Antibody to DDX39B
货号:
30866
别名:
BAT1; UAP56; D6S81E
应用:
WB,IHC,IF
反应种属:
Human,Mouse
抗体类型:
Primary antibody
Swissprot:
Q13838
规格:
目录价
在线咨询
Description |
|---|
This gene encodes a member of the DEAD box family of RNA-dependent ATPases that mediate ATP hydrolysis during pre-mRNA splicing. The encoded protein is an essential splicing factor required for association of U2 small nuclear ribonucleoprotein with pre-mRNA, and it also plays an important role in mRNA export from the nucleus to the cytoplasm. This gene belongs to a cluster of genes localized in the vicinity of the genes encoding tumor necrosis factor alpha and tumor necrosis factor beta. These genes are all within the human major histocompatibility complex class III region. Mutations in this gene may be associated with rheumatoid arthritis. Alternative splicing results in multiple transcript variants. Related pseudogenes have been identified on both chromosomes 6 and 11. Read-through transcription also occurs between this gene and the upstream ATP6V1G2 (ATPase, H+ transporting, lysosomal 13kDa, V1 subunit G2) gene. |
References |
|---|
| 1.J Virol. 2011 Sep;85(17):8646-55. 2.Biochem Biophys Res Commun. 2010 Feb 26;393(1):106-10. |
Specification |
|
|---|---|
| Aliases | BAT1; UAP56; D6S81E |
| Entrez GeneID | 7919 |
| Swissprot | Q13838 |
| clone | 2F5G7 |
| WB Predicted band size | 49kDa |
| Host/Isotype | Mouse IgG1 |
| Antibody Type | Primary antibody |
| Storage | Store at 4°C short term. Aliquot and store at -20°C long term. Avoid freeze/thaw cycles. |
| Species Reactivity | Human,Mouse |
| Immunogen | Purified recombinant fragment of human DDX39B (AA: 1-250) expressed in E. Coli. |
| Formulation | Purified antibody in PBS with 0.05% sodium azide |
Application |
|
|---|---|
| WB | 1/500 - 1/2000 |
| IHC | 1/200 - 1/1000 |
| IF | 1/200 - 1/1000 |
| ELISA | 1/10000 |
Product Image
-
Black line: Control Antigen (100 ng); Purple line: Antigen(10ng); Blue line: Antigen (50 ng); Red line: Antigen (100 ng);

-
Western blot analysis using DDX39B mouse mAb against HepG2 (1), HepG2 (2), K562 (3), Jurkat (4), NIH/3T3 (5), MCF-7 (6), Jurkat (7), and Hek293 (8) cell lysate.

-
Immunofluorescence analysis of HeLa cells using DDX39B mouse mAb. Blue: DRAQ5 fluorescent DNA dye. Red: Actin filaments have been labeled with Alexa Fluor- 555 phalloidin.

-
Immunofluorescence analysis of HeLa cells using DDX39B mouse mAb (green). Blue: DRAQ5 fluorescent DNA dye. Red: Actin filaments have been labeled with Alexa Fluor- 555 phalloidin. Secondary antibody from Fisher (Cat#: 35503)

-
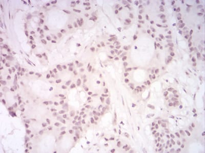
Immunohistochemical analysis of paraffin-embedded human HeLa tissues using DDX39B mouse mAb with DAB staining.






鄂公网安备42018502007531号

