Mouse Monoclonal Antibody to AOF1
货号:
30847
别名:
KDM1B; LSD2; C6orf193; bA204B7.3; dJ298J15.2
应用:
IHC,IF,FCM
反应种属:
Human
抗体类型:
Primary antibody
Swissprot:
Q8NB78
规格:
目录价
在线咨询
Description |
|---|
Flavin-dependent histone demethylases, such as KDM1B, regulate histone lysine methylation, an epigenetic mark that regulates gene expression and chromatin function. |
References |
|---|
| 1.Cell Res. 2013 Feb;23(2):225-41. 2.Nature. 2009 Sep 17;461(7262):415-8. |
Specification |
|
|---|---|
| Aliases | KDM1B; LSD2; C6orf193; bA204B7.3; dJ298J15.2 |
| Entrez GeneID | 221656 |
| Swissprot | Q8NB78 |
| clone | 5E10C1 |
| WB Predicted band size | 92kDa |
| Host/Isotype | Mouse IgG1 |
| Antibody Type | Primary antibody |
| Storage | Store at 4°C short term. Aliquot and store at -20°C long term. Avoid freeze/thaw cycles. |
| Species Reactivity | Human |
| Immunogen | Purified recombinant fragment of human AOF1 (AA: 6-129) expressed in E. Coli. |
| Formulation | Purified antibody in PBS with 0.05% sodium azide |
Application |
|
|---|---|
| IHC | 1/200 - 1/1000 |
| IF | 1/200 - 1/1000 |
| FCM | 1/200 - 1/400 |
| ELISA | 1/10000 |
Product Image
-
Black line: Control Antigen (100 ng); Purple line: Antigen(10ng); Blue line: Antigen (50 ng); Red line: Antigen (100 ng);

-
Immunofluorescence analysis of HeLa cells using AOF1 mouse mAb. Blue: DRAQ5 fluorescent DNA dye. Red: Actin filaments have been labeled with Alexa Fluor- 555 phalloidin.

-
Immunofluorescence analysis of HeLa cells using AOF1 mouse mAb (green). Blue: DRAQ5 fluorescent DNA dye. Red: Actin filaments have been labeled with Alexa Fluor- 555 phalloidin. Secondary antibody from Fisher (Cat#: 35503)

-
Flow cytometric analysis of HeLa cells using AOF1 mouse mAb (green) and negative control (red).

-
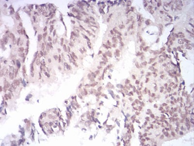
Immunohistochemical analysis of paraffin-embedded human esophageal cancer tissues using AOF1 mouse mAb with DAB staining.

-
Immunohistochemical analysis of paraffin-embedded human rectum cancer tissues using AOF1 mouse mAb with DAB staining.







鄂公网安备42018502007531号

