Mouse Monoclonal Antibody to RALA
货号:
30834
别名:
RAL
应用:
WB,IHC,IF,FCM
反应种属:
Human,Mouse,Rat,Monkey
抗体类型:
Primary antibody
Swissprot:
P11233
规格:
目录价
在线咨询
Description |
|---|
The product of this gene belongs to the small GTPase superfamily, Ras family of proteins. GTP-binding proteins mediate the transmembrane signaling initiated by the occupancy of certain cell surface receptors. This gene encodes a low molecular mass ras-like GTP-binding protein that shares about 50% similarity with other ras proteins. |
References |
|---|
| 1.Cell Signal. 2012 Jun;24(6):1134-40. 2.Int J Immunopathol Pharmacol. 2009 Jul-Sep;22(3):735-43. |
Specification |
|
|---|---|
| Aliases | RAL |
| Entrez GeneID | 5898 |
| Swissprot | P11233 |
| clone | 4G8C7 |
| WB Predicted band size | 23.6kDa |
| Host/Isotype | Mouse IgG1 |
| Antibody Type | Primary antibody |
| Storage | Store at 4°C short term. Aliquot and store at -20°C long term. Avoid freeze/thaw cycles. |
| Species Reactivity | Human,Mouse,Rat,Monkey |
| Immunogen | Purified recombinant fragment of human RALA (AA: 71-203) expressed in E. Coli. |
| Formulation | Purified antibody in PBS with 0.05% sodium azide |
Application |
|
|---|---|
| WB | 1/500 - 1/2000 |
| IHC | 1/100 - 1/500 |
| IF | 1/50 - 1/500 |
| FCM | 1/200 - 1/400 |
| ELISA | 1/10000 |
Product Image
-
Black line: Control Antigen (100 ng); Purple line: Antigen(10ng); Blue line: Antigen (50 ng); Red line: Antigen (100 ng);

-
Western blot analysis using RALA mouse mAb against HepG2 (1), MCF-7 (2), A549 (3), K562 (4), Raji (5), MOLT4 (6), Hela (7), COS7 (8), and NIH3T3 (9) cell lysate.

-
Western blot analysis using RALA mouse mAb against Raw264.7(1)PC-12(2)NRK(3)C2C12(4)C6(5)L1210(6)F9(7)COS-7(8)CHO3D10(9) cell lysate.

-
Immunofluorescence analysis of Hela cells using RALA mouse mAb (green). Blue: DRAQ5 fluorescent DNA dye. Red: Actin filaments have been labeled with Alexa Fluor- 555 phalloidin. Secondary antibody from Fisher (Cat#: 35503)

-
Flow cytometric analysis of MCF-7 cells using RALA mouse mAb (green) and negative control (red).

-
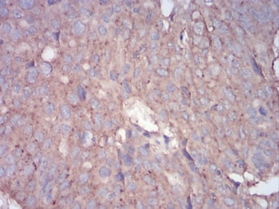
Immunohistochemical analysis of paraffin-embedded human ovarian cancer tissues using RALA mouse mAb with DAB staining.

-
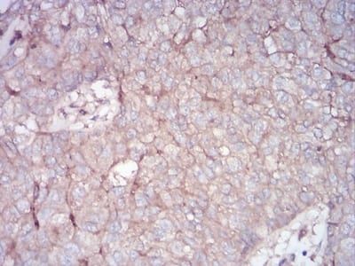
Immunohistochemical analysis of paraffin-embedded human bladder cancer tissues using RALA mouse mAb with DAB staining.

-
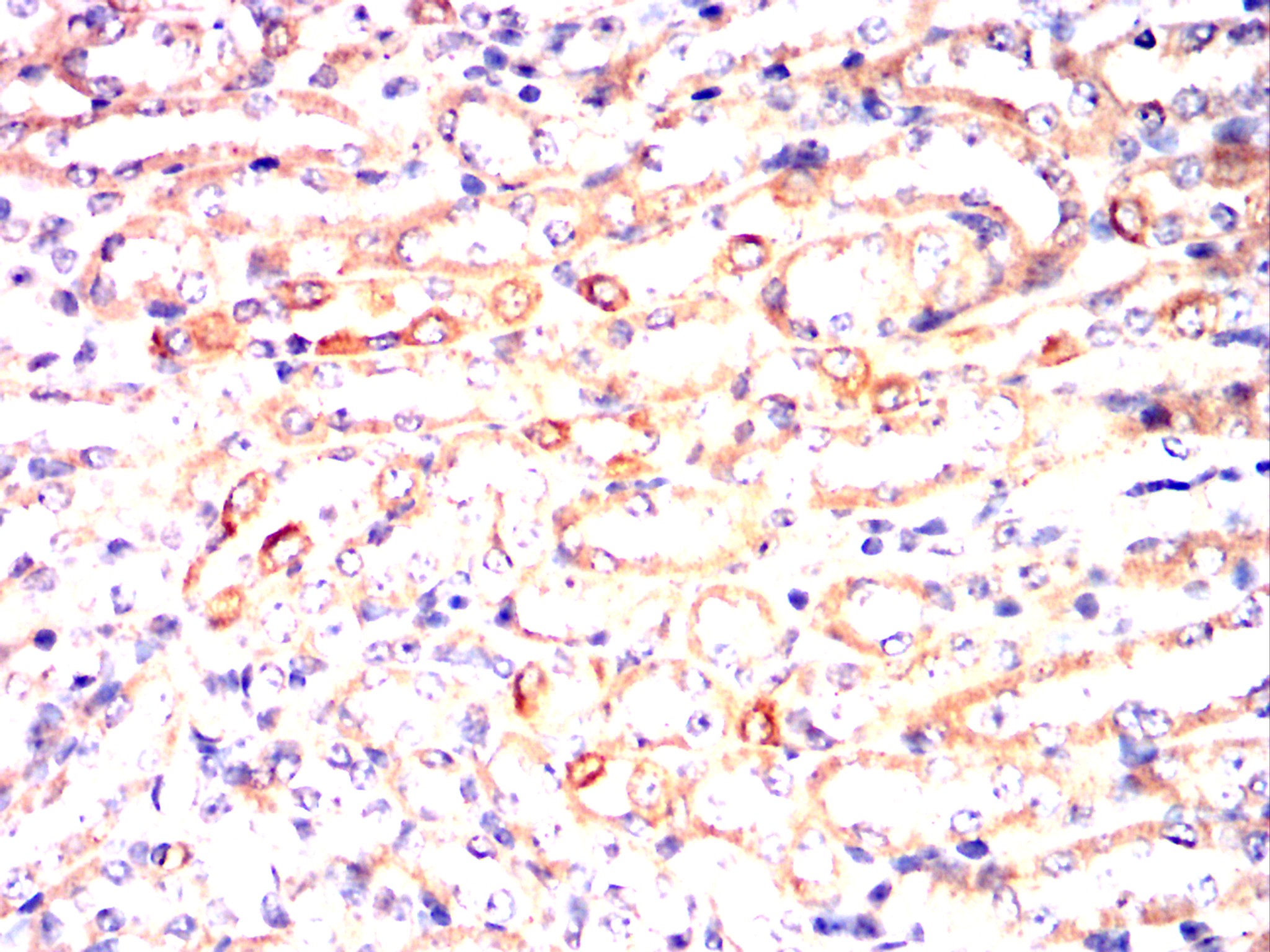
Immunohistochemical analysis of paraffin-embedded Mouse kidney using RALA mouse mAb with DAB staining.

-
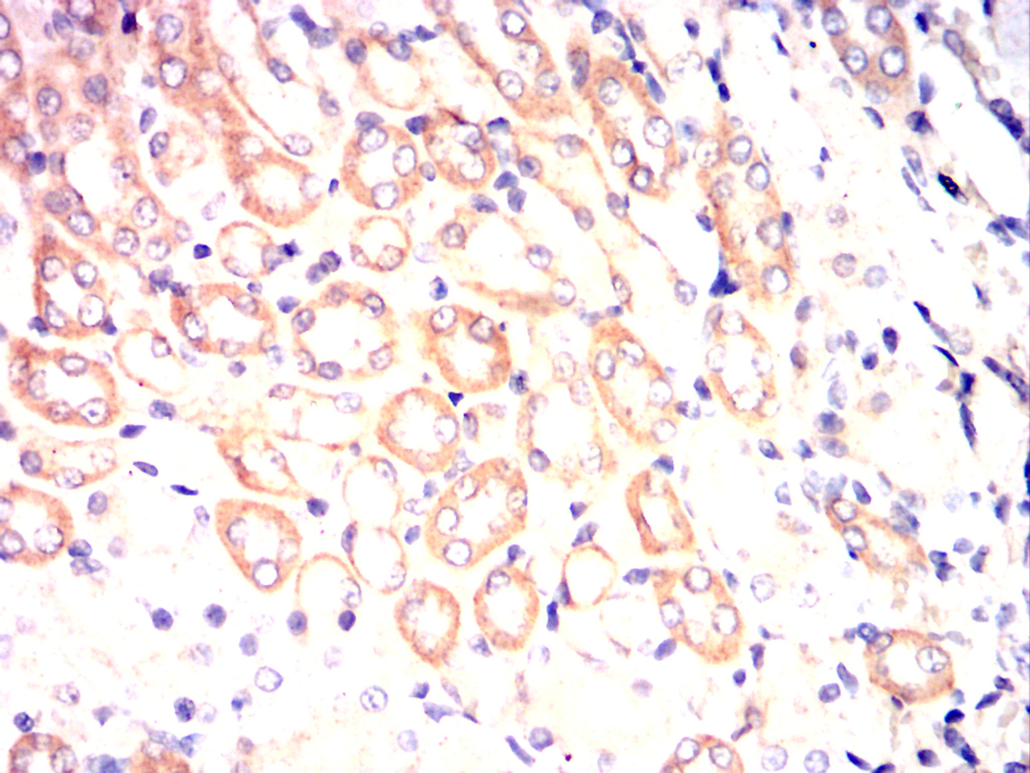
Immunohistochemical analysis of paraffin-embedded Rat kidney using RALA mouse mAb with DAB staining.










鄂公网安备42018502007531号

