Mouse Monoclonal Antibody to MGMT
货号:
30837
别名:
EC 2.1.1.63
应用:
WB,IHC,IF,FCM
反应种属:
Human
抗体类型:
Primary antibody
Swissprot:
P16455
规格:
目录价
在线咨询
Description |
|---|
MGMT (O-6-methylguanine-DNA methyltransferase) is a protein-coding gene. Diseases associated with MGMT include oligoastrocytoma, and spinal cord astrocytoma. GO annotations related to this gene include DNA-methyltransferase activity and calcium ion binding. |
References |
|---|
| 1.Neuropathology. 2014 Jun;34(3):268-76. 2.Clin Cancer Res. 2013 Apr 15;19(8):2265-72. |
Specification |
|
|---|---|
| Aliases | EC 2.1.1.63 |
| Entrez GeneID | 4255 |
| Swissprot | P16455 |
| clone | 1A11F8 |
| WB Predicted band size | 21.6kDa |
| Host/Isotype | Mouse IgG1 |
| Antibody Type | Primary antibody |
| Storage | Store at 4°C short term. Aliquot and store at -20°C long term. Avoid freeze/thaw cycles. |
| Species Reactivity | Human |
| Immunogen | Purified recombinant fragment of human MGMT (AA: 32-210) expressed in E. Coli. |
| Formulation | Purified antibody in PBS with 0.05% sodium azide |
Application |
|
|---|---|
| WB | 1/500 - 1/2000 |
| IHC | 1/200 - 1/1000 |
| IF | 1/200 - 1/1000 |
| FCM | 1/200 - 1/400 |
| ELISA | 1/10000 |
Product Image
-
Black line: Control Antigen (100 ng); Purple line: Antigen(10ng); Blue line: Antigen (50 ng); Red line: Antigen (100 ng);

-
Western blot analysis using MGMT mouse mAb against MCF-7 (1), Jurkat (2), HepG2 (3), and PC-3 (4) cell lysate.

-
Immunofluorescence analysis of Hela cells using MGMT mouse mAb (green). Blue: DRAQ5 fluorescent DNA dye. Red: Actin filaments have been labeled with Alexa Fluor- 555 phalloidin. Secondary antibody from Fisher (Cat#: 35503)

-
Flow cytometric analysis of Hela cells using MGMT mouse mAb (green) and negative control (red).

-
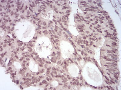
Immunohistochemical analysis of paraffin-embedded human rectum cancer tissues using MGMT mouse mAb with DAB staining.






鄂公网安备42018502007531号

