Mouse Monoclonal Antibody to RAB11FIP1
货号:
30826
别名:
RCP; NOEL1A; rab11-FIP1
应用:
WB,IHC,FCM
反应种属:
Human,Mouse
抗体类型:
Primary antibody
Swissprot:
Q6WKZ4
规格:
目录价
在线咨询
Description |
|---|
This gene encodes one of the Rab11-family interacting proteins (Rab11-FIPs), which play a role in the Rab-11 mediated recycling of vesicles. The encoded protein may be involved in endocytic sorting, trafficking of proteins including integrin subunits and epidermal growth factor receptor (EGFR), and transport between the recycling endosome and the trans-Golgi network. Alternative splicing results in multiple transcript variants. A pseudogene is described on the X chromosome |
References |
|---|
| 1.J Clin Invest. 2009 Aug;119(8):2171-83. 2.J Mol Endocrinol. 2005 Oct;35(2):357-72. |
Specification |
|
|---|---|
| Aliases | RCP; NOEL1A; rab11-FIP1 |
| Entrez GeneID | 80223 |
| Swissprot | Q6WKZ4 |
| clone | 3A12H9D2 |
| WB Predicted band size | 137.2kDa |
| Host/Isotype | Mouse IgG1 |
| Antibody Type | Primary antibody |
| Storage | Store at 4°C short term. Aliquot and store at -20°C long term. Avoid freeze/thaw cycles. |
| Species Reactivity | Human,Mouse |
| Immunogen | Purified recombinant fragment of human RAB11FIP1 (AA: 130-271) expressed in E. Coli. |
| Formulation | Purified antibody in PBS with 0.05% sodium azide |
Application |
|
|---|---|
| WB | 1/500 - 1/2000 |
| IHC | 1/200 - 1/1000 |
| FCM | 1/200 - 1/400 |
| ELISA | 1/10000 |
Product Image
-
Black line: Control Antigen (100 ng); Purple line: Antigen(10ng); Blue line: Antigen (50 ng); Red line: Antigen (100 ng);

-
Western blot analysis using RAB11FIP1 mouse mAb against Raji (1), A431 (2), HCT116 (3), LOVO (4), SW620 (5), SW480 (6), HepG2 (7), and NIH3T3 (8) cell lysate.

-
Flow cytometric analysis of Raji cells using RAB11FIP1 mouse mAb (green) and negative control (red).

-
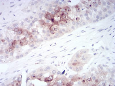
Immunohistochemical analysis of paraffin-embedded human cervical cancer tissues using RAB11FIP1 mouse mAb with DAB staining.

-
Immunohistochemical analysis of paraffin-embedded human ovarian cancer tissues using RAB11FIP1 mouse mAb with DAB staining.






鄂公网安备42018502007531号

