Mouse Monoclonal Antibody to Rab13
货号:
30844
别名:
GIG4
应用:
IHC,IF,FCM
反应种属:
Human
抗体类型:
Primary antibody
Swissprot:
P51153
规格:
目录价
在线咨询
Description |
|---|
This gene is a member of the Rab family of small G proteins and plays a role in regulating membrane trafficking between trans-Golgi network (TGN) and recycling endosomes (RE). The encoded protein is involved in the assembly of tight junctions, which are components of the apical junctional complex (AJC) of epithelial cells. The AJC plays a role in forming a barrier between luminal contents and the underlying tissue. Additional functions associated with the protein include endocytic recycling of occludin, regulation of epithelial cell scattering, neuronal regeneration and regulation of neurite outgrowth. Alternately spliced transcript variants have been observed for this gene. A pseudogene associated with this gene is located on chromosome 12. |
References |
|---|
| 1.J Histochem Cytochem. 2012 Jul;60(7):537-49. 2.J Cell Biol. 2008 Sep 8;182(5):845-53. |
Specification |
|
|---|---|
| Aliases | GIG4 |
| Entrez GeneID | 5872 |
| Swissprot | P51153 |
| clone | 7G8A4 |
| WB Predicted band size | 22.8kDa |
| Host/Isotype | Mouse IgG1 |
| Antibody Type | Primary antibody |
| Storage | Store at 4°C short term. Aliquot and store at -20°C long term. Avoid freeze/thaw cycles. |
| Species Reactivity | Human |
| Immunogen | Purified recombinant fragment of human Rab13 (AA: 66-200) expressed in E. Coli. |
| Formulation | Purified antibody in PBS with 0.05% sodium azide |
Application |
|
|---|---|
| IHC | 1/200 - 1/1000 |
| IF | 1/200 - 1/1000 |
| FCM | 1/200 - 1/400 |
| ELISA | 1/10000 |
Product Image
-
Black line: Control Antigen (100 ng); Purple line: Antigen(10ng); Blue line: Antigen (50 ng); Red line: Antigen (100 ng);

-
Immunofluorescence analysis of HeLa cells using Rab13 mouse mAb (green). Blue: DRAQ5 fluorescent DNA dye. Red: Actin filaments have been labeled with Alexa Fluor- 555 phalloidin. Secondary antibody from Fisher (Cat#: 35503)

-
Flow cytometric analysis of K562 cells using Rab13 mouse mAb (green) and negative control (red).

-
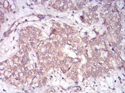
Immunohistochemical analysis of paraffin-embedded human ovarian cancer tissues using Rab13 mouse mAb with DAB staining.

-
Immunohistochemical analysis of paraffin-embedded human bladder cancer tissues using Rab13 mouse mAb with DAB staining.






鄂公网安备42018502007531号

