Mouse Monoclonal Antibody to NFKBIA
货号:
30797
别名:
IKBA; MAD-3; NFKBI
应用:
IHC,IF,FCM
反应种属:
Human
抗体类型:
Primary antibody
Swissprot:
P25963
规格:
目录价
在线咨询
Description |
|---|
This gene encodes a member of the NF-kappa-B inhibitor family, which contain multiple ankrin repeat domains. The encoded protein interacts with REL dimers to inhibit NF-kappa-B/REL complexes which are involved in inflammatory responses. The encoded protein moves between the cytoplasm and the nucleus via a nuclear localization signal and CRM1-mediated nuclear export. Mutations in this gene have been found in ectodermal dysplasia anhidrotic with T-cell immunodeficiency autosomal dominant disease. |
References |
|---|
| 1.Mol Cancer. 2013 Dec 11;12:160. 2.Acta Med Okayama. 2013;67(1):19-24. |
Specification |
|
|---|---|
| Aliases | IKBA; MAD-3; NFKBI |
| Entrez GeneID | 4792 |
| Swissprot | P25963 |
| clone | 4D4C4 |
| WB Predicted band size | 35.6kDa |
| Host/Isotype | Mouse IgG1 |
| Antibody Type | Primary antibody |
| Storage | Store at 4°C short term. Aliquot and store at -20°C long term. Avoid freeze/thaw cycles. |
| Species Reactivity | Human |
| Immunogen | Purified recombinant fragment of human NFKBIA (AA: 150-291) expressed in E. Coli. |
| Formulation | Purified antibody in PBS with 0.05% sodium azide |
Application |
|
|---|---|
| IHC | 1/200 - 1/1000 |
| IF | 1/200 - 1/1000 |
| FCM | 1/200 - 1/400 |
| ELISA | 1/10000 |
Product Image
-
Black line: Control Antigen (100 ng); Purple line: Antigen(10ng); Blue line: Antigen (50 ng); Red line: Antigen (100 ng);

-
Immunofluorescence analysis of Hela cells using NFKBIA mouse mAb (green). Blue: DRAQ5 fluorescent DNA dye. Red: Actin filaments have been labeled with Alexa Fluor- 555 phalloidin. Secondary antibody from Fisher (Cat#: 35503)

-
Immunofluorescence analysis of MCF-7 cells using NFKBIA mouse mAb (green). Blue: DRAQ5 fluorescent DNA dye. Red: Actin filaments have been labeled with Alexa Fluor- 555 phalloidin. Secondary antibody from Fisher (Cat#: 35503)

-
Flow cytometric analysis of A549 cells using NFKBIA mouse mAb (green) and negative control (red).

-
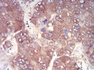
Immunohistochemical analysis of paraffin-embedded human liver cancer tissues using NFKBIA mouse mAb with DAB staining.

-
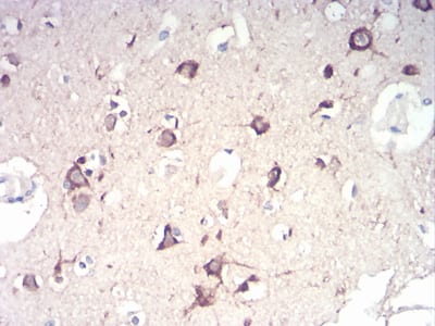
Immunohistochemical analysis of paraffin-embedded human brain tissues using NFKBIA mouse mAb with DAB staining.







鄂公网安备42018502007531号

