Mouse Monoclonal Antibody to WTAP
货号:
30788
别名:
PNAS-132;hFL(2)D;KIAA0105
应用:
WB,IHC,IF,FCM
反应种属:
Human,Mouse,Rat,Rabbit,Monkey
抗体类型:
Primary antibody
Swissprot:
Q15007
规格:
目录价
在线咨询
Description |
|---|
The Wilms tumor suppressor gene WT1 appears to play a role in both transcriptional and posttranscriptional regulation of certain cellular genes. This gene encodes a WT1-associating protein, which is a ubiquitously expressed nuclear protein. Like WT1 protein, this protein is localized throughout the nucleoplasm as well as in speckles and partially colocalizes with splicing factors. Alternative splicing of this gene results in several transcript variants encoding three different isoforms. |
References |
|---|
| 1.J Gastroenterol. 2013 Nov;48(11):1271-82. 2.Cancer Sci. 2012 Dec;103(12):2102-9. |
Specification |
|
|---|---|
| Aliases | PNAS-132;hFL(2)D;KIAA0105 |
| Entrez GeneID | 9589 |
| Swissprot | Q15007 |
| clone | 6B6B6 |
| WB Predicted band size | 44.2kDa |
| Host/Isotype | Mouse IgG1 |
| Antibody Type | Primary antibody |
| Storage | Store at 4°C short term. Aliquot and store at -20°C long term. Avoid freeze/thaw cycles. |
| Species Reactivity | Human,Mouse,Rat,Rabbit,Monkey |
| Immunogen | Purified recombinant fragment of human WTAP (AA: 91-201) expressed in E. Coli. |
| Formulation | Purified antibody in PBS with 0.05% sodium azide |
Application |
|
|---|---|
| WB | 1/500 - 1/2000 |
| IHC | 1/100 - 1/500 |
| IF | 1/50 - 1/500 |
| FCM | 1/200 - 1/400 |
| ELISA | 1/10000 |
Product Image
-
Black line: Control Antigen (100 ng); Purple line: Antigen(10ng); Blue line: Antigen (50 ng); Red line: Antigen (100 ng);

-
Western blot analysis using WTAP mouse mAb against MCF-7 (1), Hela (2), K562 (3), Hek293 (4), A549 (5), HepG2 (6), Jurkat (7), and Cos7 (8) cell lysate.

-
Western blot analysis using WTAP mouse mAb against PC-12(1)NIH/3T3(2) NRK(3) C2C12 (4) C6(5) L1210(6) F9(7) COS7(8) CHO3D10(9) cell lysate.

-
Immunofluorescence analysis of Hela cells using WTAP mouse mAb (green). Blue: DRAQ5 fluorescent DNA dye. Red: Actin filaments have been labeled with Alexa Fluor- 555 phalloidin. Secondary antibody from Fisher (Cat#: 35503)

-
Flow cytometric analysis of A549 cells using WTAP mouse mAb (green) and negative control (red).

-
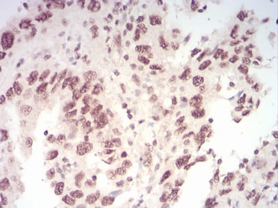
Immunohistochemical analysis of paraffin-embedded human cervical cancer tissues using WTAP mouse mAb with DAB staining.

-
Immunohistochemical analysis of paraffin-embedded human endometrial cancer tissues using WTAP mouse mAb with DAB staining.

-
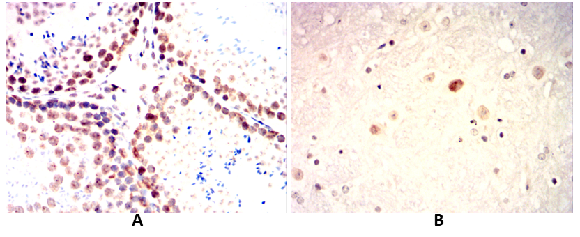
Immunohistochemical analysis of paraffin-embedded Mouse testicles(A) Mouse cerebellum(B) using WTAP mouse mAb with DAB staining.

-
Immunohistochemical analysis of paraffin-embedded Rat brain(A) Rat testicles(B) using WTAP mouse mAb with DAB staining.

-
Immunohistochemical analysis of paraffin-embedded Rabbit testicles(A) Rabbit cerebellum(b) using WTAP mouse mAb with DAB staining.











鄂公网安备42018502007531号

