Mouse Monoclonal Antibody to EMD
货号:
30789
别名:
STA; EDMD; LEMD5
应用:
IHC,IF,FCM
反应种属:
Human
抗体类型:
Primary antibody
Swissprot:
P50402
规格:
目录价
在线咨询
Description |
|---|
Emerin is a serine-rich nuclear membrane protein and a member of the nuclear lamina-associated protein family. It mediates membrane anchorage to the cytoskeleton. Dreifuss-Emery muscular dystrophy is an X-linked inherited degenerative myopathy resulting from mutation in the emerin gene. |
References |
|---|
| 1.Histopathology. 2009 Apr;54(5):571-9. 2.J Cell Biol. 2007 Sep 10;178(6):897-904. |
Specification |
|
|---|---|
| Aliases | STA; EDMD; LEMD5 |
| Entrez GeneID | 2010 |
| Swissprot | P50402 |
| clone | 8F5A8 |
| WB Predicted band size | 29kDa |
| Host/Isotype | Mouse IgG1 |
| Antibody Type | Primary antibody |
| Storage | Store at 4°C short term. Aliquot and store at -20°C long term. Avoid freeze/thaw cycles. |
| Species Reactivity | Human |
| Immunogen | Purified recombinant fragment of human EMD (AA: 1-222) expressed in E. Coli. |
| Formulation | Purified antibody in PBS with 0.05% sodium azide |
Application |
|
|---|---|
| IHC | 1/200 - 1/1000 |
| IF | 1/200 - 1/1000 |
| FCM | 1/200 - 1/400 |
| ELISA | 1/10000 |
Product Image
-
Black line: Control Antigen (100 ng); Purple line: Antigen(10ng); Blue line: Antigen (50 ng); Red line: Antigen (100 ng);

-
Immunofluorescence analysis of Hela cells using EMD mouse mAb (green). Blue: DRAQ5 fluorescent DNA dye. Red: Actin filaments have been labeled with Alexa Fluor- 555 phalloidin. Secondary antibody from Fisher (Cat#: 35503)

-
Flow cytometric analysis of A549 cells using EMD mouse mAb (green) and negative control (red).

-
Flow cytometric analysis of K562 cells using EMD mouse mAb (green) and negative control (red).

-
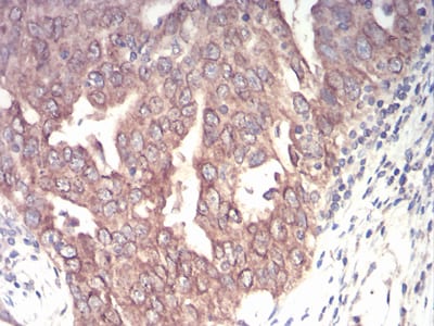
Immunohistochemical analysis of paraffin-embedded human ovarian cancer tissues using EMD mouse mAb with DAB staining.






鄂公网安备42018502007531号

