Mouse Monoclonal Antibody to TFAP2A
货号:
30791
别名:
AP-2; BOFS; AP2TF; TFAP2; AP-2alpha
应用:
WB,IHC,FCM
反应种属:
Human,Mouse,Monkey,Rat
抗体类型:
Primary antibody
Swissprot:
P05549
规格:
目录价
在线咨询
Description |
|---|
The protein encoded by this gene is a transcription factor that binds the consensus sequence 5'-GCCNNNGGC-3'. The encoded protein functions as either a homodimer or as a heterodimer with similar family members. This protein activates the transcription of some genes while inhibiting the transcription of others. Defects in this gene are a cause of branchiooculofacial syndrome (BOFS). Three transcript variants encoding different isoforms have been found for this gene. |
References |
|---|
| 1.Mol Hum Reprod. 2011 Nov;17(11):702-9. 2.Breast Cancer Res. 2011 Mar 4;13(2):R23. |
Specification |
|
|---|---|
| Aliases | AP-2; BOFS; AP2TF; TFAP2; AP-2alpha |
| Entrez GeneID | 7020 |
| Swissprot | P05549 |
| clone | 7D2B5 |
| WB Predicted band size | 48kDa |
| Host/Isotype | Mouse IgG1 |
| Antibody Type | Primary antibody |
| Storage | Store at 4°C short term. Aliquot and store at -20°C long term. Avoid freeze/thaw cycles. |
| Species Reactivity | Human,Mouse,Monkey,Rat |
| Immunogen | Purified recombinant fragment of human TFAP2A (AA: 1-100) expressed in E. Coli. |
| Formulation | Purified antibody in PBS with 0.05% sodium azide |
Application |
|
|---|---|
| IHC | 1/200 - 1/1000 |
| FCM | 1/200 - 1/400 |
| ELISA | 1/10000 |
Product Image
-
Black line: Control Antigen (100 ng); Purple line: Antigen(10ng); Blue line: Antigen (50 ng); Red line: Antigen (100 ng);

-
Western blot analysis using TFAP2A mouse mAb against Hela (1), MCF-7 (2), Cos7 (3), A431 (4), HCT116 (5), NIH/3T3 (6), and PC12 (7) cell lysate.

-
Flow cytometric analysis of Hela cells using TFAP2A mouse mAb (green) and negative control (red).

-
Flow cytometric analysis of MCF-7 cells using TFAP2A mouse mAb (green) and negative control (red).

-
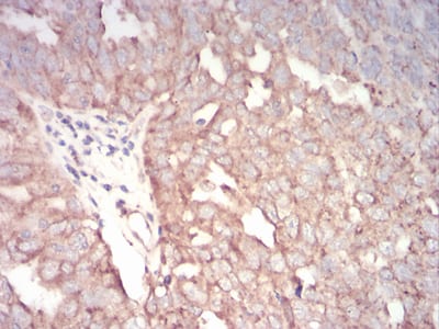
Immunohistochemical analysis of paraffin-embedded human ovarian cancer tissues using TFAP2A mouse mAb with DAB staining.

-
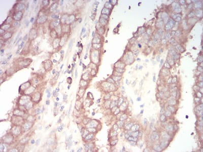
Immunohistochemical analysis of paraffin-embedded human TFAP2A tissues using endometrial cancer mouse mAb with DAB staining.







鄂公网安备42018502007531号

