Mouse Monoclonal Antibody to CD6
货号:
30746
别名:
TP120; FLJ44171
应用:
IHC,IF,FCM
反应种属:
Human
抗体类型:
Primary antibody
Swissprot:
P30203
规格:
目录价
在线咨询
Description |
|---|
This gene encodes a protein found on the outer membrane of T-lymphocytes as well as some other immune cells. The encoded protein contains three scavenger receptor cysteine-rich (SRCR) domains and a binding site for an activated leukocyte cell adhesion molecule. The gene product is important for continuation of T cell activation. This gene may be associated with susceptibility to multiple sclerosis (PMID: 19525953, 21849685). Multiple transcript variants encoding different isoforms have been found for this gene. |
References |
|---|
| J Autoimmun. 2010 Dec;35(4):336-41. Proc Natl Acad Sci U S A. 2007 Jul 10;104(28):11724-9. |
Specification |
|
|---|---|
| Aliases | TP120; FLJ44171 |
| Entrez GeneID | 923 |
| Swissprot | P30203 |
| clone | 5A10A2 |
| WB Predicted band size | 71.8kDa |
| Host/Isotype | Mouse IgG2b |
| Antibody Type | Primary antibody |
| Storage | Store at 4°C short term. Aliquot and store at -20°C long term. Avoid freeze/thaw cycles. |
| Species Reactivity | Human |
| Immunogen | Purified recombinant fragment of human CD6 (AA: 18-199) expressed in E. Coli. |
| Formulation | Purified antibody in PBS with 0.05% sodium azide |
Application |
|
|---|---|
| IHC | 1/200 - 1/1000 |
| IF | 1/200 - 1/1000 |
| FCM | 1/200 - 1/400 |
| ELISA | 1/10000 |
Product Image
-
Black line: Control Antigen (100 ng); Purple line: Antigen(10ng); Blue line: Antigen (50 ng); Red line: Antigen (100 ng);

-
Immunofluorescence analysis of Hela cells using CD6 mouse mAb (green). Blue: DRAQ5 fluorescent DNA dye. Red: Actin filaments have been labeled with Alexa Fluor- 555 phalloidin. Secondary antibody from Fisher (Cat#: 35503)

-
Flow cytometric analysis of Jurkat cells using CD6 mouse mAb (green) and negative control (red).

-
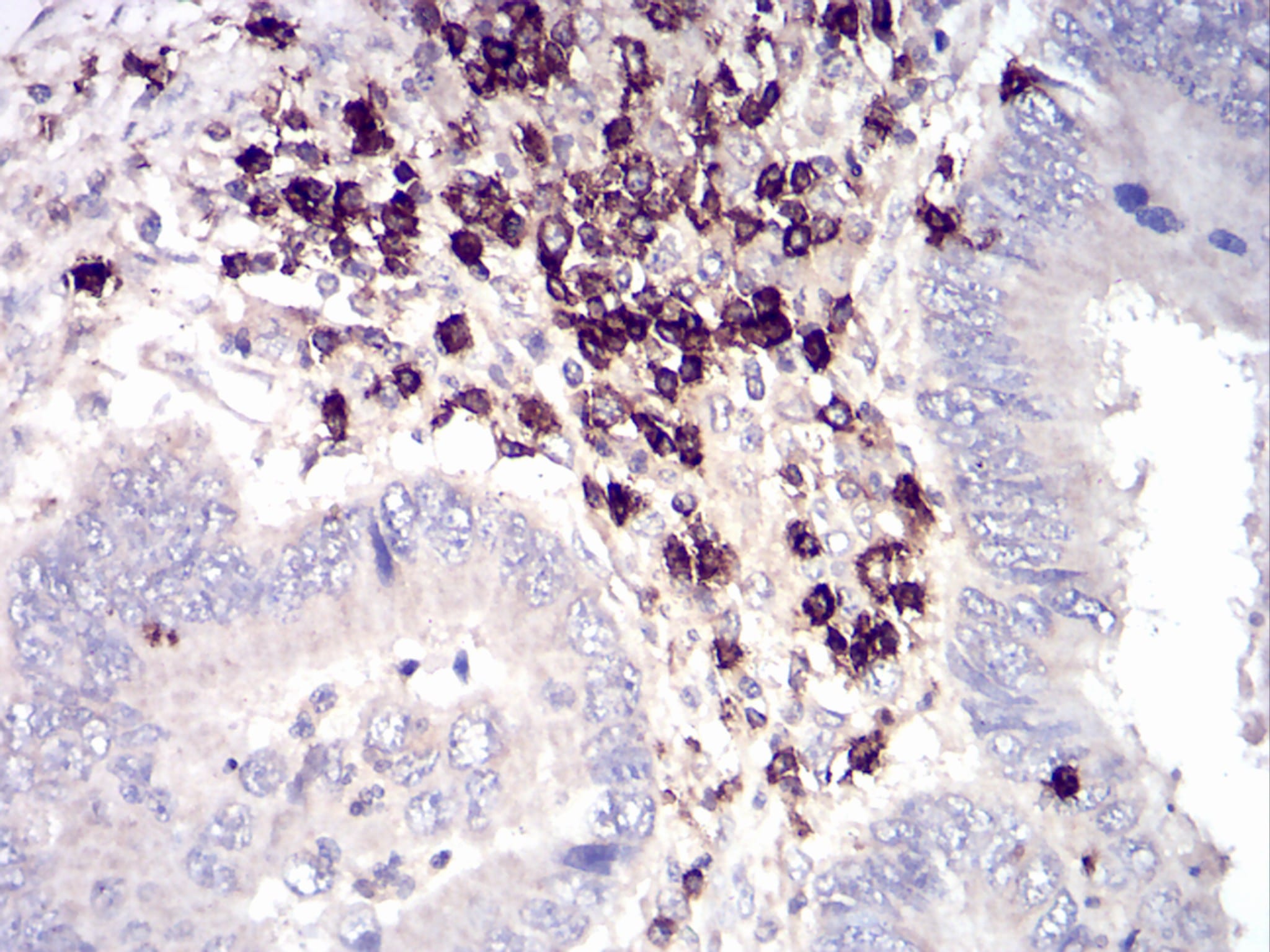
Immunohistochemical analysis of paraffin-embedded human tissues using breast cancer mouse mAb with DAB staining.

-
Immunohistochemical analysis of paraffin-embedded human rectum cancer tissues using rectum cancer mouse mAb with DAB staining.






鄂公网安备42018502007531号

