Mouse Monoclonal Antibody to SNAI2
货号:
30730
别名:
SLUG; WS2D; SLUGH1; SNAIL2
应用:
WB,IHC,IF,FCM
反应种属:
Human
抗体类型:
Primary antibody
Swissprot:
O43623
规格:
目录价
在线咨询
Description |
|---|
This gene encodes a member of the Snail family of C2H2-type zinc finger transcription factors. The encoded protein acts as a transcriptional repressor that binds to E-box motifs and is also likely to repress E-cadherin transcription in breast carcinoma. This protein is involved in epithelial-mesenchymal transitions and has antiapoptotic activity. Mutations in this gene may be associated with sporatic cases of neural tube defects. |
References |
|---|
| 1. Cancer Med. 2013 Apr;2(2):144-54. 2. FEBS J. 2012 Aug;279(16):2929-39. |
Specification |
|
|---|---|
| Aliases | SLUG; WS2D; SLUGH1; SNAIL2 |
| Entrez GeneID | 6591 |
| Swissprot | O43623 |
| clone | 4B6D5 |
| WB Predicted band size | 30kDa |
| Host/Isotype | Mouse IgG1 |
| Antibody Type | Primary antibody |
| Storage | Store at 4°C short term. Aliquot and store at -20°C long term. Avoid freeze/thaw cycles. |
| Species Reactivity | Human |
| Immunogen | Purified recombinant fragment of human SNAI2 (AA: 100-200) expressed in E. Coli. |
| Formulation | Purified antibody in PBS with 0.05% sodium azide. |
Application |
|
|---|---|
| WB | 1/500 - 1/2000 |
| IHC | 1/200 - 1/1000 |
| IF | 1/200 - 1/1000 |
| FCM | 1/200 - 1/400 |
| ELISA | 1/10000 |
Product Image
-
Black line: Control Antigen (100 ng); Purple line: Antigen(10ng); Blue line: Antigen (50 ng); Red line: Antigen (100 ng);

-
Western blot analysis using SNAI2 mouse mAb against MCF-7 cell lysate.

-
Immunofluorescence analysis of Hela cells using SNAI2 mouse mAb (green). Blue: DRAQ5 fluorescent DNA dye. Red: Actin filaments have been labeled with Alexa Fluor- 555 phalloidin. Secondary antibody from Fisher (Cat#: 35503)

-
Flow cytometric analysis of MCF-7 cells using SNAI2 mouse mAb (green) and negative control (red).

-
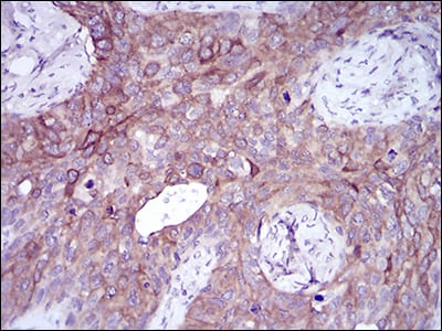
Immunohistochemical analysis of paraffin-embedded human cervical cancer tissues using SNAI2 mouse mAb with DAB staining.

-
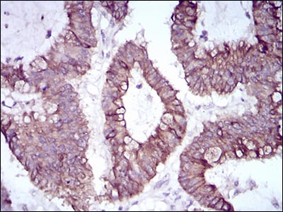
Immunohistochemical analysis of paraffin-embedded human colon cancer tissues using SNAI2 mouse mAb with DAB staining.







鄂公网安备42018502007531号

