Mouse Monoclonal Antibody to SERPINA3
货号:
30708
别名:
ACT; AACT; GIG24; GIG25
应用:
WB,IHC,FCM
反应种属:
Human
抗体类型:
Primary antibody
Swissprot:
P01011
规格:
目录价
在线咨询
Description |
|---|
The protein encoded by this gene is a plasma protease inhibitor and member of the serine protease inhibitor class. Polymorphisms in this protein appear to be tissue specific and influence protease targeting. Variations in this protein's sequence have been implicated in Alzheimer's disease, and deficiency of this protein has been associated with liver disease. Mutations have been identified in patients with Parkinson disease and chronic obstructive pulmonary disease. |
References |
|---|
| 1. Cerebrovasc Dis. 2010;29(1):68-72. 2. Cerebrovasc Dis. 2007;23(1):46-9. |
Specification |
|
|---|---|
| Aliases | ACT; AACT; GIG24; GIG25 |
| Entrez GeneID | 12 |
| Swissprot | P01011 |
| clone | 5G3C11 |
| WB Predicted band size | 47.7kDa |
| Host/Isotype | Mouse IgG1 |
| Antibody Type | Primary antibody |
| Storage | Store at 4°C short term. Aliquot and store at -20°C long term. Avoid freeze/thaw cycles. |
| Species Reactivity | Human |
| Immunogen | Purified recombinant fragment of human SERPINA3 (AA: 279-432) expressed in E. Coli. |
| Formulation | Purified antibody in PBS with 0.05% sodium azide. |
Application |
|
|---|---|
| WB | 1/500 - 1/2000 |
| IHC | 1/200 - 1/1000 |
| FCM | 1/200 - 1/400 |
| ELISA | 1/10000 |
Product Image
-
Black line: Control Antigen (100 ng); Purple line: Antigen(10ng); Blue line: Antigen (50 ng); Red line: Antigen (100 ng);

-
Western blot analysis using SERPINA3 mouse mAb against A549 cell lysate.

-
Flow cytometric analysis of A549 cells using SERPINA3 mouse mAb (green) and negative control (red).

-
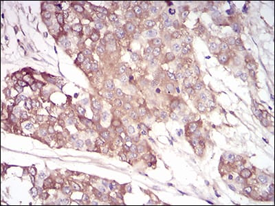
Immunohistochemical analysis of paraffin-embedded human endometrial cancer tissues using SERPINA3 mouse mAb with DAB staining.

-
Immunohistochemical analysis of paraffin-embedded human bladder cancer tissues using SERPINA3 mouse mAb with DAB staining.






鄂公网安备42018502007531号

