Mouse Monoclonal Antibody to EIF5A
货号:
30713
别名:
EIF-5A; EIF5A1; eIF5AI
应用:
WB,IHC,IF,FCM
反应种属:
Human
抗体类型:
Primary antibody
Swissprot:
P63241
规格:
目录价
在线咨询
Description |
|---|
EIF5A (eukaryotic translation initiation factor 5A) is a protein-coding gene. Diseases associated with EIF5A include lung adenocarcinoma, and intrahepatic cholangiocarcinoma, and among its related super-pathways are Post-translational protein modification and Apoptotic Pathways in Synovial Fibroblasts. GO annotations related to this gene include ribosome binding and RNA binding. An important paralog of this gene is EIF5AL1. |
References |
|---|
| 1. Int J Cancer. 2011 Jul 1;129(1):143-50. 2. Int J Cancer. 2010 Aug 15;127(4):968-76. |
Specification |
|
|---|---|
| Aliases | EIF-5A; EIF5A1; eIF5AI |
| Entrez GeneID | 1984 |
| Swissprot | P63241 |
| clone | 4E10G8 |
| WB Predicted band size | 16.8kDa |
| Host/Isotype | Mouse IgG1 |
| Antibody Type | Primary antibody |
| Storage | Store at 4°C short term. Aliquot and store at -20°C long term. Avoid freeze/thaw cycles. |
| Species Reactivity | Human |
| Immunogen | Purified recombinant fragment of human EIF5A (AA: full(1-154)) expressed in E. Coli. |
| Formulation | Purified antibody in PBS with 0.05% sodium azide. |
Application |
|
|---|---|
| IHC | 1/200 - 1/1000 |
| IF | 1/200 - 1/1000 |
| FCM | 1/200 - 1/400 |
| ELISA | 1/10000 |
Product Image
-
Black line: Control Antigen (100 ng); Purple line: Antigen(10ng); Blue line: Antigen (50 ng); Red line: Antigen (100 ng);

-
Western blot analysis using EIF5A mouse mAb against Raji (1) cell lysate.

-
Immunofluorescence analysis of Hela cells using EIF5A mouse mAb (green). Blue: DRAQ5 fluorescent DNA dye. Red: Actin filaments have been labeled with Alexa Fluor- 555 phalloidin. Secondary antibody from Fisher (Cat#: 35503)

-
Flow cytometric analysis of Hela cells using EIF5A mouse mAb (green) and negative control (red).

-
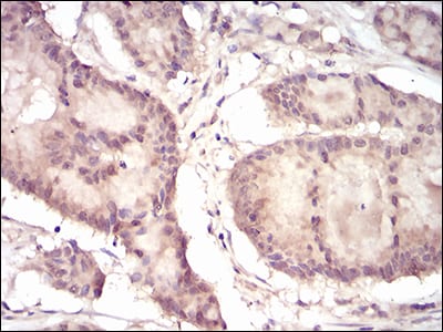
Immunohistochemical analysis of paraffin-embedded human colon cancer tissues using EIF5A mouse mAb with DAB staining.

-
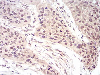
Immunohistochemical analysis of paraffin-embedded human esophageal cancer tissues using EIF5A mouse mAb with DAB staining.







鄂公网安备42018502007531号

