Mouse Monoclonal Antibody to PTPN1
货号:
30702
别名:
PTP1B
应用:
WB,IHC,IF,FCM
反应种属:
Human
抗体类型:
Primary antibody
Swissprot:
P18031
规格:
目录价
在线咨询
Description |
|---|
The protein encoded by this gene is the founding member of the protein tyrosine phosphatase (PTP) family, which was isolated and identified based on its enzymatic activity and amino acid sequence. PTPs catalyze the hydrolysis of the phosphate monoesters specifically on tyrosine residues. Members of the PTP family share a highly conserved catalytic motif, which is essential for the catalytic activity. PTPs are known to be signaling molecules that regulate a variety of cellular processes including cell growth, differentiation, mitotic cycle, and oncogenic transformation. This PTP has been shown to act as a negative regulator of insulin signaling by dephosphorylating the phosphotryosine residues of insulin receptor kinase. This PTP was also reported to dephosphorylate epidermal growth factor receptor kinase, as well as JAK2 and TYK2 kinases, which implicated the role of this PTP in cell growth control, and cell response to interferon stimulation. Two transcript variants encoding different isoforms have been found for this gene. |
References |
|---|
| 1. Med Oncol. 2012 Jun;29(2):948-56. 2. Cell Biol Int. 2010 Jul;34(7):747-53. |
Specification |
|
|---|---|
| Aliases | PTP1B |
| Entrez GeneID | 5770 |
| Swissprot | P18031 |
| clone | 4F8F11 |
| WB Predicted band size | 50kDa |
| Host/Isotype | Mouse IgG1 |
| Antibody Type | Primary antibody |
| Storage | Store at 4°C short term. Aliquot and store at -20°C long term. Avoid freeze/thaw cycles. |
| Species Reactivity | Human |
| Immunogen | Purified recombinant fragment of human PTPN1 (AA: 40-246) expressed in E. Coli. |
| Formulation | Purified antibody in PBS with 0.05% sodium azide. |
Application |
|
|---|---|
| WB | 1/500 - 1/2000 |
| IHC | 1/200 - 1/1000 |
| IF | 1/200 - 1/1000 |
| FCM | 1/200 - 1/400 |
| ELISA | 1/10000 |
Product Image
-
Black line: Control Antigen (100 ng); Purple line: Antigen(10ng); Blue line: Antigen (50 ng); Red line: Antigen (100 ng);

-
Western blot analysis using PTPN1 mouse mAb against Jurkat (1), MCF-7 (2) cell lysate.

-
Immunofluorescence analysis of Hela cells using PTPN1 mouse mAb (green). Blue: DRAQ5 fluorescent DNA dye. Red: Actin filaments have been labeled with Alexa Fluor- 555 phalloidin. Secondary antibody from Fisher (Cat#: 35503)

-
Flow cytometric analysis of Jurkat cells using PTPN1 mouse mAb (green) and negative control (red).

-
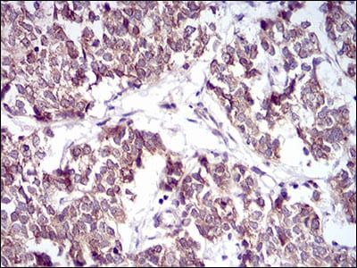
Immunohistochemical analysis of paraffin-embedded human bladder cancer tissues using PTPN1 mouse mAb with DAB staining.






鄂公网安备42018502007531号

