Mouse Monoclonal Antibody to PER3
货号:
30703
别名:
GIG13
应用:
IHC,IF,FCM
反应种属:
Human
抗体类型:
Primary antibody
Swissprot:
P56645
规格:
目录价
在线咨询
Description |
|---|
This gene is a member of the Period family of genes and is expressed in a circadian pattern in the suprachiasmatic nucleus, the primary circadian pacemaker in the mammalian brain. Genes in this family encode components of the circadian rhythms of locomotor activity, metabolism, and behavior. Circadian expression in the suprachiasmatic nucleus continues in constant darkness, and a shift in the light/dark cycle evokes a proportional shift of gene expression in the suprachiasmatic nucleus. The specific function of this gene is not yet known. |
References |
|---|
| 1. Liver Int. 2012 Oct;32(9):1451-9. 2. Ann Surg Oncol. 2012 Sep;19(9):3081-8. |
Specification |
|
|---|---|
| Aliases | GIG13 |
| Entrez GeneID | 8863 |
| Swissprot | P56645 |
| clone | 4B9D7 |
| WB Predicted band size | 132kDa |
| Host/Isotype | Mouse IgG2b |
| Antibody Type | Primary antibody |
| Storage | Store at 4°C short term. Aliquot and store at -20°C long term. Avoid freeze/thaw cycles. |
| Species Reactivity | Human |
| Immunogen | Purified recombinant fragment of human PER3 (AA: 723-954) expressed in E. Coli. |
| Formulation | Purified antibody in PBS with 0.05% sodium azide. |
Application |
|
|---|---|
| IHC | 1/200 - 1/1000 |
| IF | 1/200 - 1/1000 |
| FCM | 1/200 - 1/400 |
| ELISA | 1/10000 |
Product Image
-
Black line: Control Antigen (100 ng); Purple line: Antigen(10ng); Blue line: Antigen (50 ng); Red line: Antigen (100 ng);

-
Immunofluorescence analysis of Hela cells using PER3 mouse mAb (green). Blue: DRAQ5 fluorescent DNA dye. Red: Actin filaments have been labeled with Alexa Fluor- 555 phalloidin. Secondary antibody from Fisher (Cat#: 35503)

-
Flow cytometric analysis of Hela cells using PER3 mouse mAb (green) and negative control (red).

-
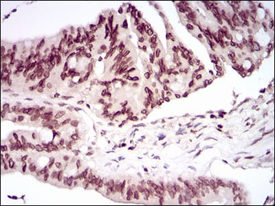
Immunohistochemical analysis of paraffin-embedded human ovarian cancer tissues using PER3 mouse mAb with DAB staining.

-
Immunohistochemical analysis of paraffin-embedded human rectum cancer tissues using PER3 mouse mAb with DAB staining.






鄂公网安备42018502007531号

