Mouse Monoclonal Antibody to RPS6KA2
货号:
30694
别名:
RSK; HU-2; RSK3; p90-RSK3; pp90RSK3; MAPKAPK1C; S6K-alpha; S6K-alpha2
应用:
WB,IHC,IF,FCM
反应种属:
Human,Mouse
抗体类型:
Primary antibody
Swissprot:
Q15349
规格:
目录价
在线咨询
Description |
|---|
This gene encodes a member of the RSK (ribosomal S6 kinase) family of serine/threonine kinases. This kinase contains 2 non-identical kinase catalytic domains and phosphorylates various substrates, including members of the mitogen-activated kinase (MAPK) signalling pathway. The activity of this protein has been implicated in controlling cell growth and differentiation. Alternate transcriptional splice variants, encoding different isoforms, have been characterized. |
References |
|---|
| 1. Oncogene. 2007 Feb 1;26(5):683-700. 2. Exp Mol Med. 2003 Oct 31;35(5):365-70. |
Specification |
|
|---|---|
| Aliases | RSK; HU-2; RSK3; p90-RSK3; pp90RSK3; MAPKAPK1C; S6K-alpha; S6K-alpha2 |
| Entrez GeneID | 6196 |
| Swissprot | Q15349 |
| clone | 3C4C8 |
| WB Predicted band size | 83.2kDa |
| Host/Isotype | Mouse IgG1 |
| Antibody Type | Primary antibody |
| Storage | Store at 4°C short term. Aliquot and store at -20°C long term. Avoid freeze/thaw cycles. |
| Species Reactivity | Human,Mouse |
| Immunogen | Purified recombinant fragment of human RPS6KA2 (AA: 415-734) expressed in E. Coli. |
| Formulation | Purified antibody in PBS with 0.05% sodium azide. |
Application |
|
|---|---|
| WB | 1/500 - 1/2000 |
| IHC | 1/200 - 1/1000 |
| IF | 1/200 - 1/1000 |
| FCM | 1/200 - 1/400 |
| ELISA | 1/10000 |
Product Image
-
Black line: Control Antigen (100 ng); Purple line: Antigen(10ng); Blue line: Antigen (50 ng); Red line: Antigen (100 ng);

-
Western blot analysis using RPS6KA2 mouse mAb against Hela (1), A431 (2), HEK293 (3), Jurkat (4), HepG2 (5), MCF-7 (6), NIH/3T3 (7) cell lysate.

-
Immunofluorescence analysis of A431 cells using RPS6KA2 mouse mAb (green). Blue: DRAQ5 fluorescent DNA dye. Red: Actin filaments have been labeled with Alexa Fluor- 555 phalloidin. Secondary antibody from Fisher (Cat#: 35503)

-
Flow cytometric analysis of Hela cells using RPS6KA2 mouse mAb (green) and negative control (red).

-
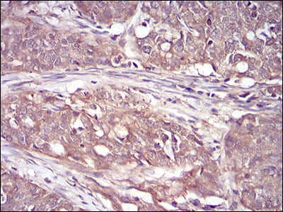
Immunohistochemical analysis of paraffin-embedded human cervical cancer tissues using RPS6KA2 mouse mAb with DAB staining.

-
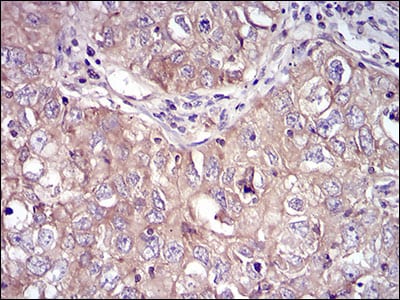
Immunohistochemical analysis of paraffin-embedded human lung cancer tissues using RPS6KA2 mouse mAb with DAB staining.







鄂公网安备42018502007531号

