Mouse Monoclonal Antibody to XRCC6
货号:
30686
别名:
ML8; KU70; TLAA; CTC75; CTCBF; G22P1
应用:
WB,IHC,IF,FCM
反应种属:
Human
抗体类型:
Primary antibody
Swissprot:
P12956
规格:
目录价
在线咨询
Description |
|---|
The p70/p80 autoantigen is a nuclear complex consisting of two subunits with molecular masses of approximately 70 and 80 kDa. The complex functions as a single-stranded DNA-dependent ATP-dependent helicase. The complex may be involved in the repair of nonhomologous DNA ends such as that required for double-strand break repair, transposition, and V(D)J recombination. High levels of autoantibodies to p70 and p80 have been found in some patients with systemic lupus erythematosus. |
References |
|---|
| 1. Clin Cancer Res. 2013 Mar 15;19(6):1547-56. 2. Mol Carcinog. 2012 Oct;51 Suppl 1:E183-90. |
Specification |
|
|---|---|
| Aliases | ML8; KU70; TLAA; CTC75; CTCBF; G22P1 |
| Entrez GeneID | 2547 |
| Swissprot | P12956 |
| clone | 2F7F5 |
| WB Predicted band size | 69.8kDa |
| Host/Isotype | Mouse IgG1 |
| Antibody Type | Primary antibody |
| Storage | Store at 4°C short term. Aliquot and store at -20°C long term. Avoid freeze/thaw cycles. |
| Species Reactivity | Human |
| Immunogen | Purified recombinant fragment of human XRCC6 (AA: 6-214) expressed in E. Coli. |
| Formulation | Purified antibody in PBS with 0.05% sodium azide. |
Application |
|
|---|---|
| WB | 1/500 - 1/2000 |
| IHC | 1/200 - 1/1000 |
| IF | 1/200 - 1/1000 |
| FCM | 1/200 - 1/400 |
| ELISA | 1/10000 |
Product Image
-
Black line: Control Antigen (100 ng); Purple line: Antigen(10ng); Blue line: Antigen (50 ng); Red line: Antigen (100 ng);

-
Western blot analysis using XRCC6 mouse mAb against Hela (1), PC-2 (2), A549 (3), A431 (4), HepG2 (5), K562 (6) cell lysate.

-
Immunofluorescence analysis of MCF-7 cells using XRCC6 mouse mAb (green). Blue: DRAQ5 fluorescent DNA dye. Red: Actin filaments have been labeled with Alexa Fluor-555 phalloidin. Secondary antibody from Fisher (Cat#: 35503)

-
Flow cytometric analysis of A431 cells using XRCC6 mouse mAb (green) and negative control (red).

-
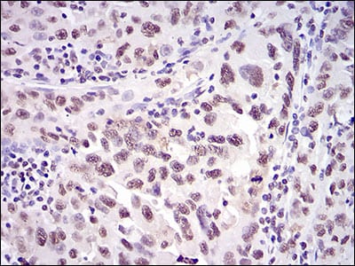
Immunohistochemical analysis of paraffin-embedded human endometrial cancer tissues using XRCC6 mouse mAb with DAB staining.

-
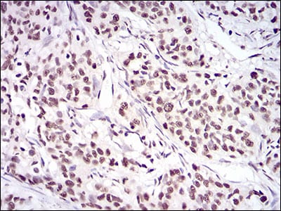
Immunohistochemical analysis of paraffin-embedded human cervical cancer tissues using XRCC6 mouse mAb with DAB staining.







鄂公网安备42018502007531号

