Mouse Monoclonal Antibody to CSNK2B
货号:
30691
别名:
G5A; CK2B; CK2N; CSK2B
应用:
WB,IHC,IF,FCM
反应种属:
Human
抗体类型:
Primary antibody
Swissprot:
P67870
规格:
目录价
在线咨询
Description |
|---|
This gene encodes the beta subunit of casein kinase II, a ubiquitous protein kinase which regulates metabolic pathways, signal transduction, transcription, translation, and replication. The enzyme is composed of three subunits, alpha, alpha prime and beta, which form a tetrameric holoenzyme. The alpha and alpha prime subunits are catalytic, while the beta subunit serves regulatory functions. The enzyme localizes to the endoplasmic reticulum and the Golgi apparatus. Two transcript variants encoding different isoforms have been found for this gene. |
References |
|---|
| 1. Nan Fang Yi Ke Da Xue Xue Bao. 2012 Oct;32(10):1491-4. 2. Am J Pathol. 2009 Jan;174(1):287-96. |
Specification |
|
|---|---|
| Aliases | G5A; CK2B; CK2N; CSK2B |
| Entrez GeneID | 1460 |
| Swissprot | P67870 |
| clone | 2F12F3 |
| WB Predicted band size | 25kDa |
| Host/Isotype | Mouse IgG1 |
| Antibody Type | Primary antibody |
| Storage | Store at 4°C short term. Aliquot and store at -20°C long term. Avoid freeze/thaw cycles. |
| Species Reactivity | Human |
| Immunogen | Purified recombinant fragment of human CSNK2B (AA: FULL(1-215)) expressed in E. Coli. |
| Formulation | Purified antibody in PBS with 0.05% sodium azide. |
Application |
|
|---|---|
| WB | 1/500 - 1/2000 |
| IHC | 1/200 - 1/1000 |
| IF | 1/200 - 1/1000 |
| FCM | 1/200 - 1/400 |
| ELISA | 1/10000 |
Product Image
-
Black line: Control Antigen (100 ng); Purple line: Antigen(10ng); Blue line: Antigen (50 ng); Red line: Antigen (100 ng);

-
Western blot analysis using CSNK2B mouse mAb against Hela (1), Jurkat (2), K562 (3), HepG2 (4), C6 (5), SK-N-SH (6), NTERA-2 (7), MCF-7 (8), NIH/3T3 (9) cell lysate.

-
Immunofluorescence analysis of MCF-7 cells using CSNK2B mouse mAb (green). Blue: DRAQ5 fluorescent DNA dye. Red: Actin filaments have been labeled with Alexa Fluor-555 phalloidin. Secondary antibody from Fisher (Cat#: 35503)

-
Flow cytometric analysis of Hela cells using CSNK2B mouse mAb (green) and negative control (red).

-
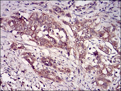
Immunohistochemical analysis of paraffin-embedded human cervical cancer tissues using CSNK2B mouse mAb with DAB staining.

-
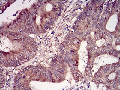
Immunohistochemical analysis of paraffin-embedded human colon cancer tissues using CSNK2B mouse mAb with DAB staining.







鄂公网安备42018502007531号

