Mouse Monoclonal Antibody to RANBP9
货号:
30670
别名:
BPM-L; BPM90; RANBPM; RanBP7
应用:
WB,IHC,IF,FCM
反应种属:
Human,Mouse,Rat,Monkey,Rabbit
抗体类型:
Primary antibody
Swissprot:
Q96S59
规格:
目录价
在线咨询
Description |
|---|
This gene encodes a protein that binds RAN, a small GTP binding protein belonging to the RAS superfamily that is essential for the translocation of RNA and proteins through the nuclear pore complex. The protein encoded by this gene has also been shown to interact with several other proteins, including met proto-oncogene, homeodomain interacting protein kinase 2, androgen receptor, and cyclin-dependent kinase 11. |
References |
|---|
| 1. Biochem J. 2006 May 15;396(1):23-30. 2. BMC Cancer. 2002 Nov 6;2:28. |
Specification |
|
|---|---|
| Aliases | BPM-L; BPM90; RANBPM; RanBP7 |
| Entrez GeneID | 10048 |
| Swissprot | Q96S59 |
| clone | 6E10H5 |
| WB Predicted band size | 77.8kDa |
| Host/Isotype | Mouse IgG1 |
| Antibody Type | Primary antibody |
| Storage | Store at 4°C short term. Aliquot and store at -20°C long term. Avoid freeze/thaw cycles. |
| Species Reactivity | Human,Mouse,Rat,Monkey,Rabbit |
| Immunogen | Purified recombinant fragment of human RANBP9 (AA: 453-680) expressed in E. Coli. |
| Formulation | Purified antibody in PBS with 0.05% sodium azide. |
Application |
|
|---|---|
| WB | 1/500 - 1/2000 |
| IHC | 1/100 - 1/500 |
| IF | 1/50 - 1/500 |
| FCM | 1/200 - 1/400 |
| ELISA | 1/10000 |
Product Image
-
Black line: Control Antigen (100 ng); Purple line: Antigen(10ng); Blue line: Antigen (50 ng); Red line: Antigen (100 ng);

-
Western blot analysis using RANBP9 mouse mAb against Jurkat (1), MOLT4 (2), HEK293 (3), A431 (4), A549 (5), NIH/3T3 (6) cell lysate.

-
Western blot analysis using RANBP9 mouse mAb against PC-129(1) Raw264.7(2) NIH/3T3(3)NRK(4)C2C12(5)F9(6)COS-7(7)cell lysate.

-
Immunofluorescence analysis of NIH/3T3 cells using RANBP9 mouse mAb (green). Blue: DRAQ5 fluorescent DNA dye. Red: Actin filaments have been labeled with Alexa Fluor- 555 phalloidin.

-
Flow cytometric analysis of Jurkat cells using RANBP9 mouse mAb (green) and negative control (red).

-
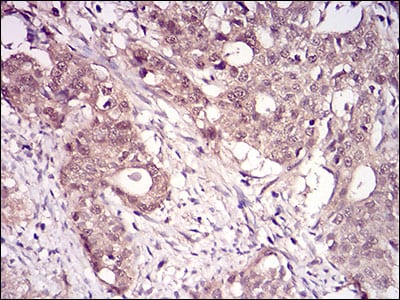
Immunohistochemical analysis of paraffin-embedded human cervical cancer tissues using RANBP9 mouse mAb with DAB staining.

-
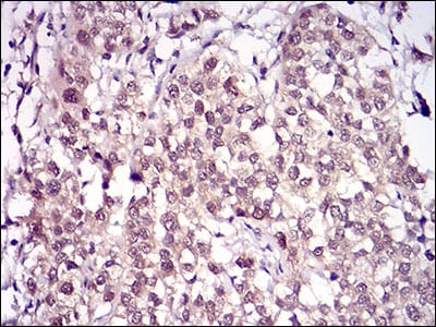
Immunohistochemical analysis of paraffin-embedded human bladder cancer tissues using RANBP9 mouse mAb with DAB staining.

-
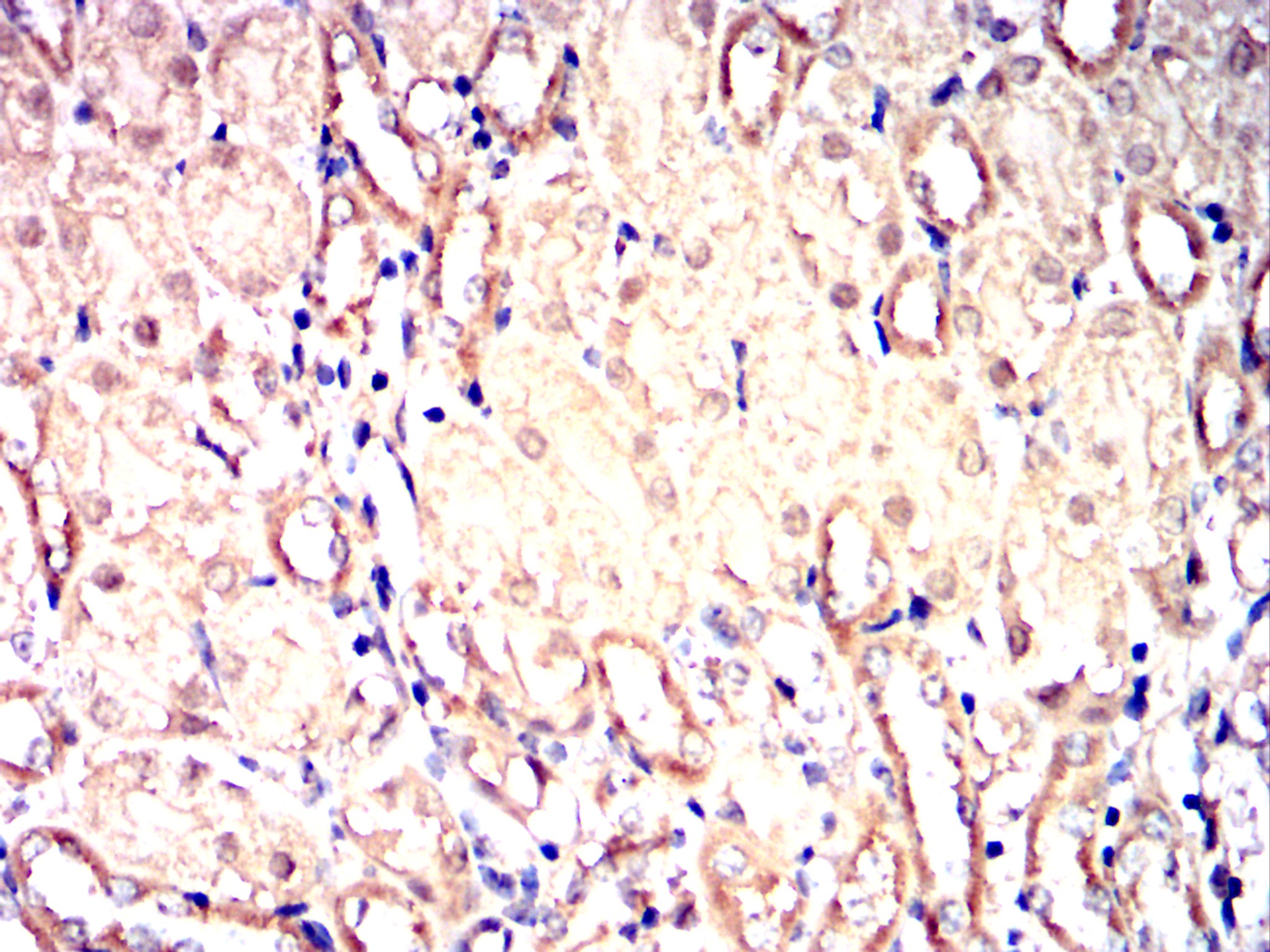
Immunohistochemical analysis of paraffin-embedded Mouse kidney using RANBP9 mouse mAb with DAB staining.

-
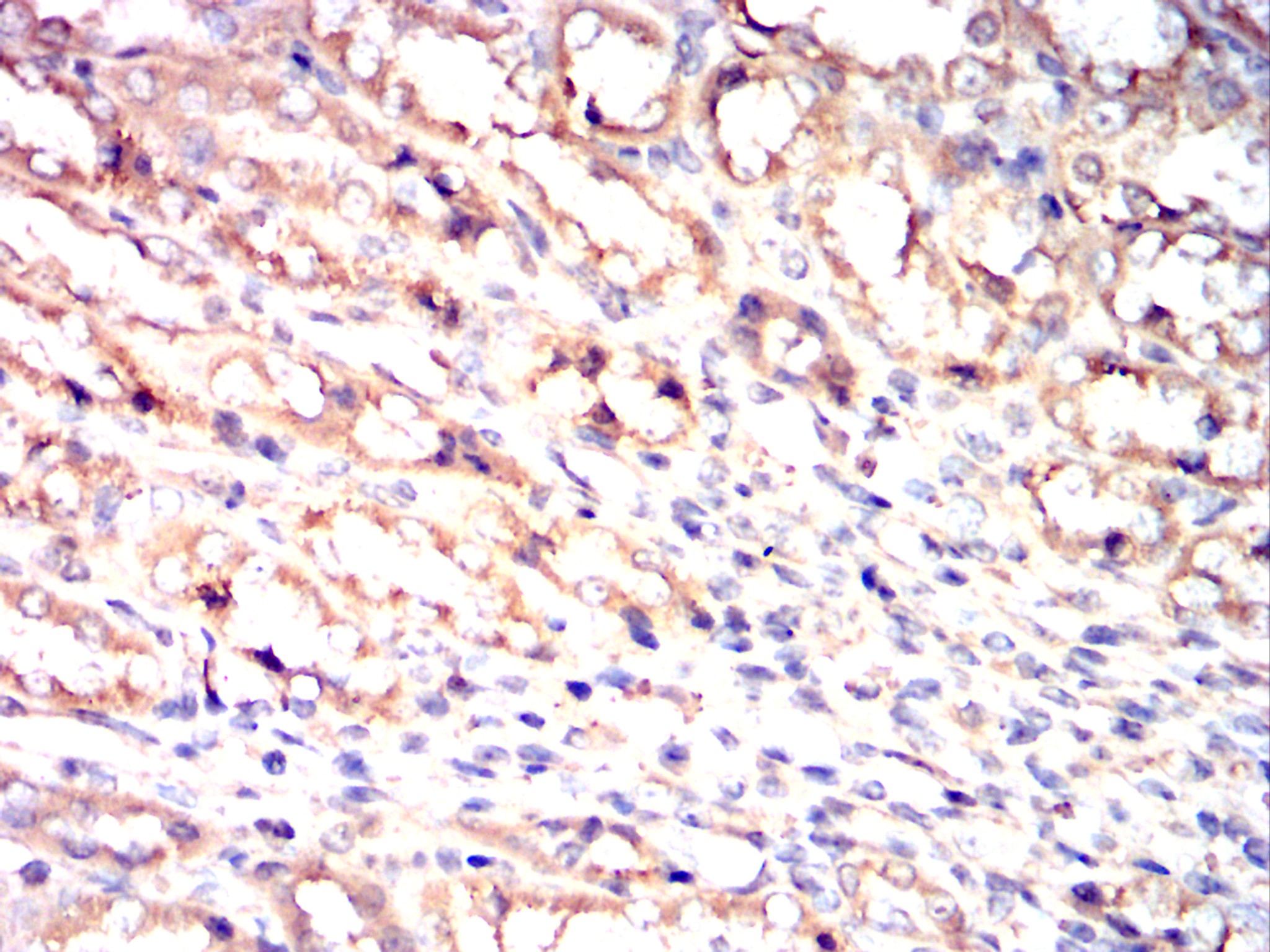
Immunohistochemical analysis of paraffin-embedded Rat kidney using RANBP9 mouse mAb with DAB staining.

-
Immunohistochemical analysis of paraffin-embedded Rabbit kidney using RANBP9 mouse mAb with DAB staining.











鄂公网安备42018502007531号

