Mouse Monoclonal Antibody to CTNNBL1
货号:
30656
别名:
NAP; P14L; PP8304; C20orf33; dJ633O20.1
应用:
WB,IHC,IF,FCM
反应种属:
Human
抗体类型:
Primary antibody
Swissprot:
Q8WYA6
规格:
目录价
在线咨询
Description |
|---|
The protein encoded by this gene is a component of the pre-mRNA-processing factor 19-cell division cycle 5-like (PRP19-CDC5L) protein complex, which activates pre-mRNA splicing and is an integral part of the spliceosome. The encoded protein is also a nuclear localization sequence binding protein, and binds to activation-induced deaminase and is important for antibody diversification. This gene may also be associated with the development of obesity. Alternative splicing results in multiple transcript variants. A pseudogene of this gene has been defined on the X chromosome. |
References |
|---|
| 1. J Biol Chem. 2011 May 13;286(19):17091-102. 2. Mol Cell. 2008 Aug 22;31(4):474-84. |
Specification |
|
|---|---|
| Aliases | NAP; P14L; PP8304; C20orf33; dJ633O20.1 |
| Entrez GeneID | 56259 |
| Swissprot | Q8WYA6 |
| clone | 1E4F5 |
| WB Predicted band size | 65.2kDa |
| Host/Isotype | Mouse IgG1 |
| Antibody Type | Primary antibody |
| Storage | Store at 4°C short term. Aliquot and store at -20°C long term. Avoid freeze/thaw cycles. |
| Species Reactivity | Human |
| Immunogen | Purified recombinant fragment of human CTNNBL1 (AA: 390-557) expressed in E. Coli. |
| Formulation | Purified antibody in PBS with 0.05% sodium azide. |
Application |
|
|---|---|
| WB | 1/500 - 1/2000 |
| IHC | 1/200 - 1/1000 |
| IF | 1/200 - 1/1000 |
| FCM | 1/200 - 1/400 |
| ELISA | 1/10000 |
Product Image
-
Black line: Control Antigen (100 ng); Purple line: Antigen(10ng); Blue line: Antigen (50 ng); Red line: Antigen (100 ng);

-
Western blot analysis using CTNNBL1 mouse mAb against Hela (1), Jurkat (2), HEK293 (3), A431 (4), HepG2 (5), RAJI (6) cell lysate.

-
Immunofluorescence analysis of MCF-7 cells using CTNNBL1 mouse mAb (green). Blue: DRAQ5 fluorescent DNA dye. Secondary antibody from Fisher (Cat#: 35503)

-
Flow cytometric analysis of Hela cells using CTNNBL1 mouse mAb (green) and negative control (red).

-
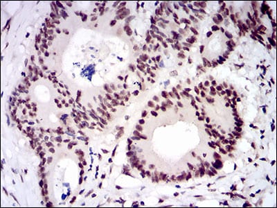
Immunohistochemical analysis of paraffin-embedded human colon cancer tissues using CTNNBL1 mouse mAb with DAB staining.

-
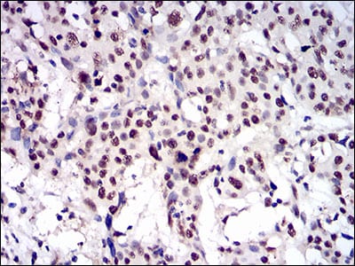
Immunohistochemical analysis of paraffin-embedded human esophageal cancer tissues using CTNNBL1 mouse mAb with DAB staining.







鄂公网安备42018502007531号

