Mouse Monoclonal Antibody to MSTN
货号:
30626
别名:
GDF8; MSLHP
应用:
WB,IHC,FCM
反应种属:
Human
抗体类型:
Primary antibody
Swissprot:
O14793
规格:
目录价
在线咨询
Description |
|---|
The protein encoded by this gene is a member of the bone morphogenetic protein (BMP) family and the TGF-beta superfamily. This group of proteins is characterized by a polybasic proteolytic processing site which is cleaved to produce a mature protein containing seven conserved cysteine residues. The members of this family are regulators of cell growth and differentiation in both embryonic and adult tissues. This gene is thought to encode a secreted protein which negatively regulates skeletal muscle growth. |
References |
|---|
| 1. Eur J Endocrinol. 2012 Dec;167(6):873-80. 2. Biochem J. 2012 Aug 15;446(1):23-36. |
Specification |
|
|---|---|
| Aliases | GDF8; MSLHP |
| Entrez GeneID | 2660 |
| Swissprot | O14793 |
| clone | 6E4B2 |
| WB Predicted band size | 42.8kDa |
| Host/Isotype | Mouse IgG2b |
| Antibody Type | Primary antibody |
| Storage | Store at 4°C short term. Aliquot and store at -20°C long term. Avoid freeze/thaw cycles. |
| Species Reactivity | Human |
| Immunogen | Purified recombinant fragment of human MSTN (AA:24-266) expressed in E. Coli. |
| Formulation | Purified antibody in PBS with 0.05% sodium azide. |
Application |
|
|---|---|
| WB | 1/500 - 1/2000 |
| IHC | 1/200 - 1/1000 |
| FCM | 1/200 - 1/400 |
| ELISA | 1/10000 |
Product Image
-
Black line: Control Antigen (100 ng); Purple line: Antigen(10ng); Blue line: Antigen (50 ng); Red line: Antigen (100 ng);

-
Western blot analysis using MSTN mouse mAb against LNcap cell lysate.

-
Flow cytometric analysis of LNcap cells using MSTN mouse mAb (green) and negative control (red).

-
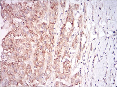
Immunohistochemical analysis of paraffin-embedded human cervical cancer tissues using MSTN mouse mAb with DAB staining.

-
Immunohistochemical analysis of paraffin-embedded human liver cancer tissues using MSTN mouse mAb with DAB staining.






鄂公网安备42018502007531号

