Mouse Monoclonal Antibody to CDH16
货号:
30659
别名:
KSP-Cadherin
应用:
WB,IHC,IF,FCM
反应种属:
Human
抗体类型:
Primary antibody
Swissprot:
O75309
规格:
目录价
在线咨询
Description |
|---|
This gene is a member of the cadherin superfamily, genes encoding calcium-dependent, membrane-associated glycoproteins. Mapped to a previously identified cluster of cadherin genes on chromosome 16q22.1, the gene localizes with superfamily members CDH1, CDH3, CDH5, CDH8 and CDH11. The protein consists of an extracellular domain containing 6 cadherin domains, a transmembrane region and a truncated cytoplasmic domain but lacks the prosequence and tripeptide HAV adhesion recognition sequence typical of most classical cadherins. Expression is exclusively in kidney, where the protein functions as the principal mediator of homotypic cellular recognition, playing a role in the morphogenic direction of tissue development. Alternatively spliced transcript variants encoding distinct isoforms have been identified. |
References |
|---|
| 1. Br J Cancer. 2005 Jun 6;92(11):2010-7. 2. Am J Physiol. 1999 Jul;277(1 Pt 2):F146-56. |
Specification |
|
|---|---|
| Aliases | KSP-Cadherin |
| Entrez GeneID | 1014 |
| Swissprot | O75309 |
| clone | 6H6E2 |
| WB Predicted band size | 90kDa |
| Host/Isotype | Mouse IgG1 |
| Antibody Type | Primary antibody |
| Storage | Store at 4°C short term. Aliquot and store at -20°C long term. Avoid freeze/thaw cycles. |
| Species Reactivity | Human |
| Immunogen | Purified recombinant fragment of human CDH16 (AA: EX(558-721)) expressed in E. Coli. |
| Formulation | Purified antibody in PBS with 0.05% sodium azide. |
Application |
|
|---|---|
| WB | 1/500 - 1/2000 |
| IHC | 1/200 - 1/1000 |
| IF | 1/200 - 1/1000 |
| FCM | 1/200 - 1/400 |
| ELISA | 1/10000 |
Product Image
-
Black line: Control Antigen (100 ng); Purple line: Antigen(10ng); Blue line: Antigen (50 ng); Red line: Antigen (100 ng);

-
Western blot analysis using CDH16 mouse mAb against A431 (1), Jurkat (2) cell lysate.

-
Immunofluorescence analysis of A431 cells using CDH16 mouse mAb (green). Blue: DRAQ5 fluorescent DNA dye. Red: Actin filaments have been labeled with Alexa Fluor-555 phalloidin. Secondary antibody from Fisher (Cat#: 35503)

-
Flow cytometric analysis of A431 cells using CDH16 mouse mAb (green) and negative control (red).

-
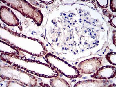
Immunohistochemical analysis of paraffin-embedded human kidney tissues using CDH16 mouse mAb with DAB staining.






鄂公网安备42018502007531号

