Mouse Monoclonal Antibody to PPP1CB
货号:
30661
别名:
PP1B; PP-1B; PPP1CD; PP1beta
应用:
WB,IHC,IF,FCM
反应种属:
Human
抗体类型:
Primary antibody
Swissprot:
P62140
规格:
目录价
在线咨询
Description |
|---|
The protein encoded by this gene is one of the three catalytic subunits of protein phosphatase 1 (PP1). PP1 is a serine/threonine specific protein phosphatase known to be involved in the regulation of a variety of cellular processes, such as cell division, glycogen metabolism, muscle contractility, protein synthesis, and HIV-1 viral transcription. Mouse studies suggest that PP1 functions as a suppressor of learning and memory. Two alternatively spliced transcript variants encoding distinct isoforms have been observed |
References |
|---|
| 1. J Biol Chem. 2011 Sep 23;286(38):32931-6. 2. Mol Biol Cell. 2010 Dec;21(24):4409-17. |
Specification |
|
|---|---|
| Aliases | PP1B; PP-1B; PPP1CD; PP1beta |
| Entrez GeneID | 5500 |
| Swissprot | P62140 |
| clone | 8A7C7 |
| WB Predicted band size | 37.2kDa |
| Host/Isotype | Mouse IgG1 |
| Antibody Type | Primary antibody |
| Storage | Store at 4°C short term. Aliquot and store at -20°C long term. Avoid freeze/thaw cycles. |
| Species Reactivity | Human |
| Immunogen | Purified recombinant fragment of human PPP1CB (AA: 174-327) expressed in E. Coli. |
| Formulation | Purified antibody in PBS with 0.05% sodium azide. |
Application |
|
|---|---|
| WB | 1/500 - 1/2000 |
| IHC | 1/200 - 1/1000 |
| IF | 1/200 - 1/1000 |
| FCM | 1/200 - 1/400 |
| ELISA | 1/10000 |
Product Image
-
Black line: Control Antigen (100 ng); Purple line: Antigen(10ng); Blue line: Antigen (50 ng); Red line: Antigen (100 ng);

-
Western blot analysis using PPP1CB mouse mAb against Jurkat (1), A431 (2), Hela (3), HepG2 (4), HEK293 (5), MCF-7 (6) cell lysate.

-
Immunofluorescence analysis of MCF-7 cells using PPP1CB mouse mAb (green). Blue: DRAQ5 fluorescent DNA dye. Secondary antibody from Fisher (Cat#: 35503)

-
Flow cytometric analysis of Jurkat cells using PPP1CB mouse mAb (green) and negative control (red).

-
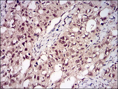
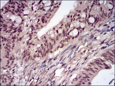
Immunohistochemical analysis of paraffin-embedded human cervical cancer tissues using PPP1CB mouse mAb with DAB staining.

-
Immunohistochemical analysis of paraffin-embedded human rectum cancer tissues using PPP1CB mouse mAb with DAB staining.







鄂公网安备42018502007531号

