Mouse Monoclonal Antibody to CNN1
货号:
30636
别名:
SMCC; Sm-Calp
应用:
WB,IHC
反应种属:
Human,Mouse,Rat,Monkey,Rabbit
抗体类型:
Primary antibody
Swissprot:
P51911
规格:
目录价
在线咨询
Description |
|---|
Calponin h1 (CN) is a differentiation marker of smooth muscle cells that has been reported to be down-regulated in the blood vessels of several human tumors. |
References |
|---|
| 1. Anticancer Res. 2010 Apr;30(4):1071-8. 2. Eur J Surg Oncol. 2008 May;34(5):531-7. |
Specification |
|
|---|---|
| Aliases | SMCC; Sm-Calp |
| Entrez GeneID | 1264 |
| Swissprot | P51911 |
| clone | 1H5B5 |
| WB Predicted band size | 33.2kDa |
| Host/Isotype | Mouse IgG1 |
| Antibody Type | Primary antibody |
| Storage | Store at 4°C short term. Aliquot and store at -20°C long term. Avoid freeze/thaw cycles. |
| Species Reactivity | Human,Mouse,Rat,Monkey,Rabbit |
| Immunogen | Purified recombinant fragment of human CNN1 (AA: 16-165) expressed in E. Coli. |
| Formulation | Purified antibody in PBS with 0.05% sodium azide. |
Application |
|
|---|---|
| WB | 1/500 - 1/2000 |
| IHC | 1/100 - 1/500 |
| ELISA | 1/10000 |
Product Image
-
Black line: Control Antigen (100 ng); Purple line: Antigen(10ng); Blue line: Antigen (50 ng); Red line: Antigen (100 ng);

-
Western blot analysis using CNN1 mouse mAb against C2C12(1) COS-7 (2) HELA(3) cell lysate.

-
Immunohistochemical analysis of paraffin-embedded human cervical cancer tissues using CNN1 mouse mAb with DAB staining.

-
Immunohistochemical analysis of paraffin-embedded human esophageal cancer tissues using CNN1 mouse mAb with DAB staining.

-
Immunohistochemical analysis of paraffin-embedded Mouse spleen(A) Mouse muscle(B) using CNN1 mouse mAb with DAB staining.

-
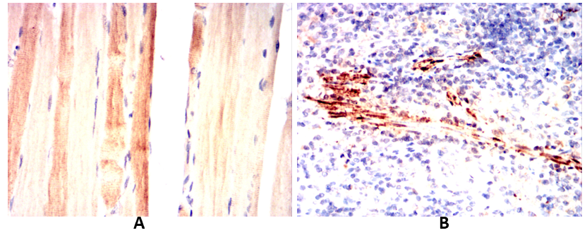
Immunohistochemical analysis of paraffin-embedded Rat spleen(A) Rat muscle(B) using CNN1 mouse mAb with DAB staining.

-
Immunohistochemical analysis of paraffin-embedded Rabbit lung using CNN1 mouse mAb with DAB staining.








鄂公网安备42018502007531号

