Mouse Monoclonal Antibody to CAMK2G
货号:
30624
别名:
CAMK; CAMKG; CAMK-II
应用:
WB,IHC,FCM
反应种属:
Human,Mouse,Rat,Monkey,Rabbit
抗体类型:
Primary antibody
Swissprot:
Q13555
规格:
目录价
在线咨询
Description |
|---|
The product of this gene is one of the four subunits of an enzyme which belongs to the serine/threonine protein kinase family, and to the Ca(2+)/calmodulin-dependent protein kinase subfamily. Calcium signaling is crucial for several aspects of plasticity at glutamatergic synapses. In mammalian cells the enzyme is composed of four different chains: alpha, beta, gamma, and delta. The product of this gene is a gamma chain. Many alternatively spliced transcripts encoding different isoforms have been described but the full-length nature of all the variants has not been determined. |
References |
|---|
| 1. Blood. 2012 Dec 6;120(24):4829-39. 2. Diabetologia. 2002 Apr;45(4):580-3. |
Specification |
|
|---|---|
| Aliases | CAMK; CAMKG; CAMK-II |
| Entrez GeneID | 818 |
| Swissprot | Q13555 |
| clone | 8G10C1 |
| WB Predicted band size | 62.6kDa |
| Host/Isotype | Mouse IgG1 |
| Antibody Type | Primary antibody |
| Storage | Store at 4°C short term. Aliquot and store at -20°C long term. Avoid freeze/thaw cycles. |
| Species Reactivity | Human,Mouse,Rat,Monkey,Rabbit |
| Immunogen | Purified recombinant fragment of human CAMK2G (AA: 322-481) expressed in E. Coli. |
| Formulation | Purified antibody in PBS with 0.05% sodium azide. |
Application |
|
|---|---|
| WB | 1/500 - 1/2000 |
| IHC | 1/100 - 1/500 |
| FCM | 1/200 - 1/400 |
| ELISA | 1/10000 |
Product Image
-
Black line: Control Antigen (100 ng); Purple line: Antigen(10ng); Blue line: Antigen (50 ng); Red line: Antigen (100 ng);

-
Western blot analysis using CAMK2G mouse mAb against PC-12 (1), Jurkat (2), T47D (3), HepG2 (4) cell lysate.

-
Western blot analysis using CAMK2G mouse mAb against PC-12(1)Raw264.7 (2)NIH/3T3(3) NRK (4) C2C12(5)C6(6)F9(7)COS-7(8)CHO3D10(9) cell lysate.

-
Flow cytometric analysis of Jurkat cells using CAMK2G mouse mAb (green) and negative control (red).

-
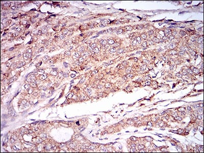
Immunohistochemical analysis of paraffin-embedded human prostate cancer tissues using CAMK2G mouse mAb with DAB staining.

-
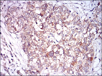
Immunohistochemical analysis of paraffin-embedded human bladder cancer tissues using CAMK2G mouse mAb with DAB staining.

-
Immunohistochemical analysis of paraffin-embedded Mouse cerebellum using CAMK2G mouse mAb with DAB staining.

-
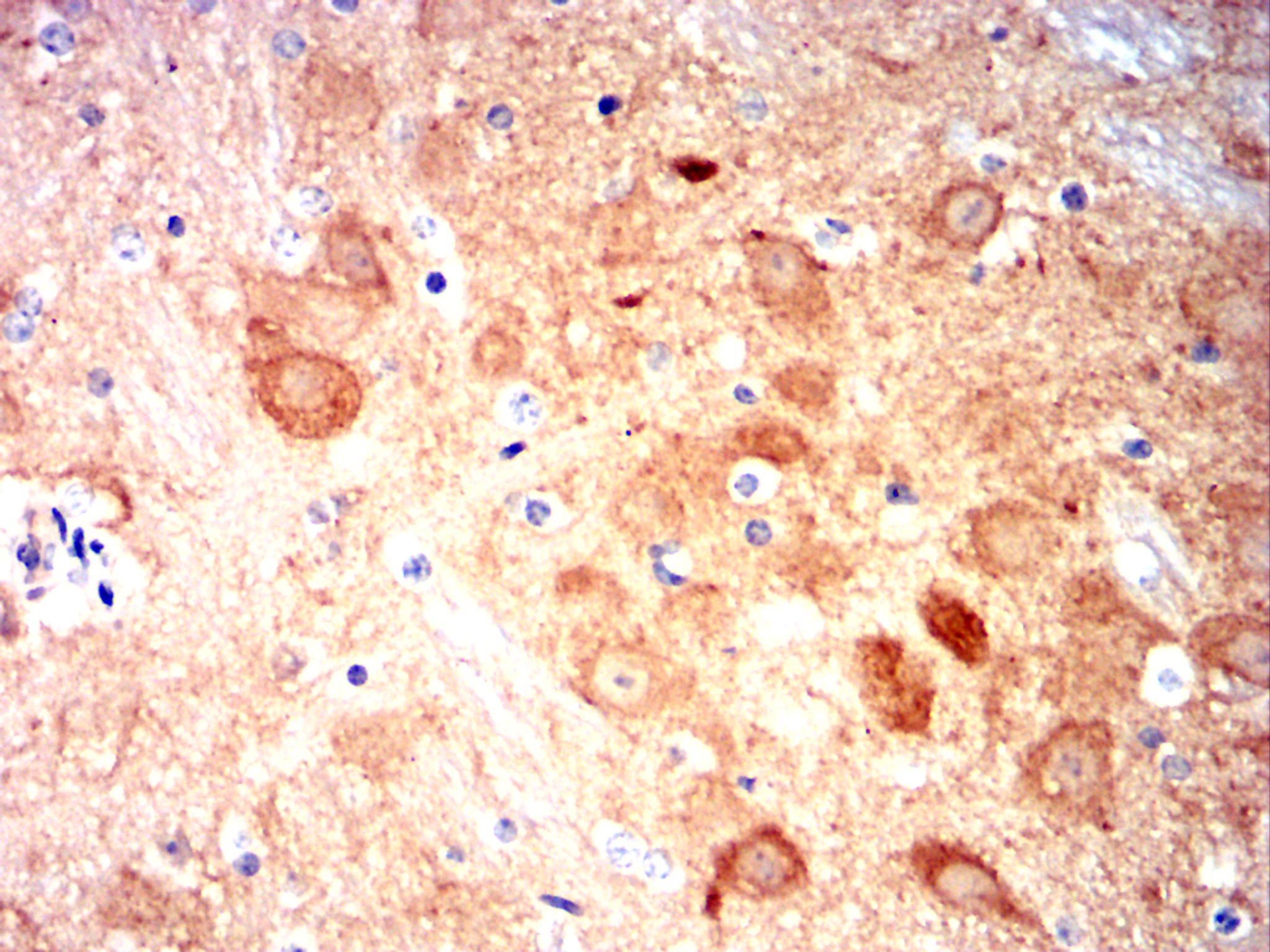
Immunohistochemical analysis of paraffin-embedded Rat cerebellum using CAMK2G mouse mAb with DAB staining.

-
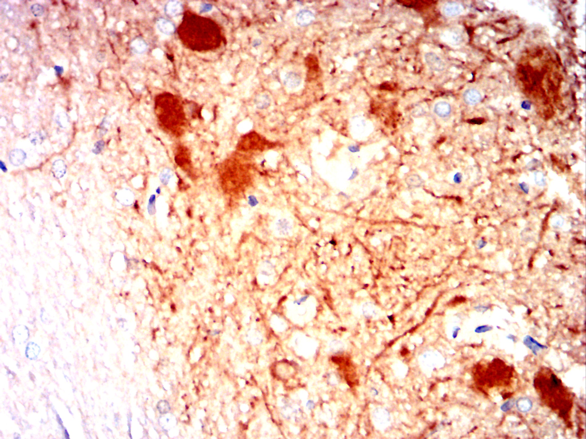
Immunohistochemical analysis of paraffin-embedded Rabbit spinal cord using CAMK2G mouse mAb with DAB staining.










鄂公网安备42018502007531号

