Mouse Monoclonal Antibody to CD68
货号:
30621
别名:
GP110; LAMP4; SCARD1
应用:
WB,IHC,IF,FCM
反应种属:
Human
抗体类型:
Primary antibody
Swissprot:
P34810
规格:
目录价
在线咨询
Description |
|---|
This gene encodes a 110-kD transmembrane glycoprotein that is highly expressed by human monocytes and tissue macrophages. It is a member of the lysosomal/endosomal-associated membrane glycoprotein (LAMP) family. The protein primarily localizes to lysosomes and endosomes with a smaller fraction circulating to the cell surface. It is a type I integral membrane protein with a heavily glycosylated extracellular domain and binds to tissue- and organ-specific lectins or selectins. The protein is also a member of the scavenger receptor family. Scavenger receptors typically function to clear cellular debris, promote phagocytosis, and mediate the recruitment and activation of macrophages. Alternative splicing results in multiple transcripts encoding different isoforms. |
References |
|---|
| 1. Rom J Morphol Embryol. 2012;53(1):61-6. 2. Anticancer Res. 2009 Aug;29(8):3269-79. |
Specification |
|
|---|---|
| Aliases | GP110; LAMP4; SCARD1 |
| Entrez GeneID | 968 |
| Swissprot | P34810 |
| clone | 3F7D3 |
| WB Predicted band size | 37.4kDa |
| Host/Isotype | Mouse IgG1 |
| Antibody Type | Primary antibody |
| Storage | Store at 4°C short term. Aliquot and store at -20°C long term. Avoid freeze/thaw cycles. |
| Species Reactivity | Human |
| Immunogen | Purified recombinant fragment of human CD68 (AA: 42-155) expressed in E. Coli. |
| Formulation | Purified antibody in PBS with 0.05% sodium azide. |
Application |
|
|---|---|
| WB | 1/500 - 1/2000 |
| IHC | 1/200 - 1/1000 |
| IF | 1/200 - 1/1000 |
| FCM | 1/200 - 1/400 |
| ELISA | 1/10000 |
Product Image
-
Black line: Control Antigen (100 ng); Purple line: Antigen(10ng); Blue line: Antigen (50 ng); Red line: Antigen (100 ng);

-
Western blot analysis using CD68 mouse mAb against U937 (1), Hela (2), HepG2 (3), Jurkat (4) cell lysate.

-
Immunofluorescence analysis of Hela cells using CD68 mouse mAb (green). Blue: DRAQ5 fluorescent DNA dye.

-
Flow cytometric analysis of Hela cells using CD68 mouse mAb (green) and negative control (red).

-
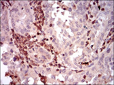
Immunohistochemical analysis of paraffin-embedded human endometrial cancer tissues using CD68 mouse mAb with DAB staining.

-
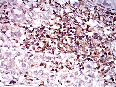
Immunohistochemical analysis of paraffin-embedded human bladder cancer tissues using CD68 mouse mAb with DAB staining.







鄂公网安备42018502007531号

