Mouse Monoclonal Antibody to PRKAG1
货号:
30598
别名:
AMPKG
应用:
IHC,IF,FCM
反应种属:
Human
抗体类型:
Primary antibody
Swissprot:
P54619
规格:
目录价
在线咨询
Description |
|---|
The protein encoded by this gene is a regulatory subunit of the AMP-activated protein kinase (AMPK). AMPK is a heterotrimer consisting of an alpha catalytic subunit, and non-catalytic beta and gamma subunits. AMPK is an important energy-sensing enzyme that monitors cellular energy status. In response to cellular metabolic stresses, AMPK is activated, and thus phosphorylates and inactivates acetyl-CoA carboxylase (ACC) and beta-hydroxy beta-methylglutaryl-CoA reductase (HMGCR), key enzymes involved in regulating de novo biosynthesis of fatty acid and cholesterol. This subunit is one of the gamma regulatory subunits of AMPK. Alternatively spliced transcript variants encoding distinct isoforms have been observed. |
References |
|---|
| 1. Circ Res. 2012 Aug 31;111(6):800-14. 2. Circ Res. 2012 Apr 27;110(9):1192-201. |
Specification |
|
|---|---|
| Aliases | AMPKG |
| Entrez GeneID | 5571 |
| Swissprot | P54619 |
| clone | 7H3E9 |
| WB Predicted band size | 37.6kDa |
| Host/Isotype | Mouse IgG1 |
| Antibody Type | Primary antibody |
| Storage | Store at 4°C short term. Aliquot and store at -20°C long term. Avoid freeze/thaw cycles. |
| Species Reactivity | Human |
| Immunogen | Purified recombinant fragment of human PRKAG1 (AA: 230-331) expressed in E. Coli. |
| Formulation | Purified antibody in PBS with 0.05% sodium azide. |
Application |
|
|---|---|
| IHC | 1/200 - 1/1000 |
| IF | 1/200 - 1/1000 |
| FCM | 1/200 - 1/400 |
| ELISA | 1/10000 |
Product Image
-
Black line: Control Antigen (100 ng); Purple line: Antigen(10ng); Blue line: Antigen (50 ng); Red line: Antigen (100 ng);

-
Immunofluorescence analysis of HepG2 cells using PRKAG1 mouse mAb (green). Blue: DRAQ5 fluorescent DNA dye. Secondary antibody from Fisher (Cat#: 35503)

-
Flow cytometric analysis of HepG2 cells using PRKAG1 mouse mAb (green) and negative control (red).

-
Immunohistochemical analysis of paraffin-embedded human prostate cancer tissues using PRKAG1 mouse mAb with DAB staining.

-
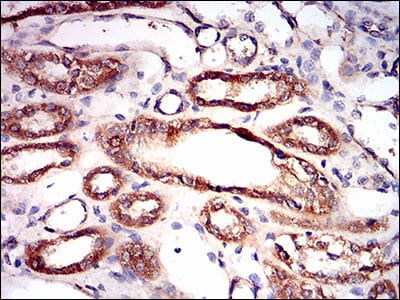
Immunohistochemical analysis of paraffin-embedded human kidney tissues using PRKAG1 mouse mAb with DAB staining.






鄂公网安备42018502007531号

